不同嫩化处理对牛肉干品质的影响

徐文星1,高雨欣1,郑海波1,*,汪宁卿2,徐 轩1

(1.安徽科技学院食品科学与工程学院,安徽 滁州 239001;2.安徽厨哈哈食品科技有限公司,安徽 安庆 246000)

摘 要:为降低牛肉干的硬度以提升其易咀嚼性,选择针刺法、浸泡法(针刺+苹果酸)、注射法(针刺+碳酸钠)及酶解法(针刺+木瓜蛋白酶)4 种方法对牛肉进行嫩化处理,探讨不同处理方式对牛肉干食用品质的影响。结果表明,与未经嫩化处理的对照组相比,针刺法、浸泡法、注射法和酶解法均可在一定程度上降低牛肉干的硬度,但单独使用针刺法作用不明显,针刺+苹果酸浸泡处理效果优于针刺法,但不如针刺+木瓜蛋白酶处理效果明显。经木瓜蛋白酶结合针刺处理后,牛肉干的硬度显著降低(P<0.05)。此外,肌原纤维小片化指数和十二烷基硫酸钠-聚丙烯酰胺凝胶电泳结果表明,针刺+木瓜蛋白酶处理能够有效促进蛋白质降解。扫描电子显微镜观察结果显示,所有嫩化处理均可促进结缔组织的分解,其中针刺+木瓜蛋白酶处理效果最为显著。总体而言,相较于其他方式,木瓜蛋白酶结合针刺处理能更有效地改善牛肉干的质地和感官特性,可用于牛肉干产品的嫩化处理。

关键词:牛肉干;品质;结缔组织;纤维结构;针刺+木瓜蛋白酶嫩化

牛肉干作为一种传统的肉制品,在我国及世界各地均具有广泛的消费群体[1]。然而,由于牛肉的肌肉纤维结构较为紧密,特别是干燥收缩后肌纤维密度上升,导致干燥后的牛肉干咀嚼性较差[2]。咀嚼性是肉制品最重要的感官特性之一,直接影响消费者的购买意愿[3-4]。因此,改善牛肉干的咀嚼性、提升产品品质成为行业需要解决的重要技术问题。

目前,国内外已开发出多种肉制品的嫩化方法,主要分为物理嫩化法、化学嫩化法和生物嫩化法三大类。其中,物理嫩化法主要依靠机械力等物理手段,通过破坏肌肉组织结构达到嫩化肉质的目的[5]。化学嫩化法与生物嫩化法则是通过添加某种成分,使其作用于肌肉组织和蛋白质,进而改善肉的嫩度[6-7]。酶解法被认为是一种有效的嫩化方法,虽能显著改善肉的嫩度,但其成本相对较高[8]。近年来,成本低廉的碳酸钠、食用酸等成分被认为能有效改善鲜肉的嫩度,但作用时间相对较长[9-10]。尽管这些方法在鲜肉处理中表现出较好的嫩化效果,但缺乏系统性的横向比较,尤其是在干制肉制品上的应用效果仍不明确,导致很难评估各方法的效果差异[11-13]

为评估不同嫩化方法对牛肉干制品的影响,本研究选取针刺法、针刺+苹果酸浸泡法、针刺+碳酸钠注射法、针刺+木瓜蛋白酶酶解法几种具有代表性的方法进行处理,并比较它们的嫩化效果及其对牛肉干肌肉结构、蛋白质特性和感官品质的影响,以期为牛肉干嫩化工艺的选用提供技术依据。

1 材料与方法

1.1 材料与试剂

牛臀肉、调味料 市购。

碳酸钠(食品级) 安琪酵母股份有限公司;DL-苹果酸(食品级) 安徽雪郎生物科技股份有限公司;木瓜蛋白酶(食品级,100 000 U/g) 南宁东恒华道生物科技有限责任公司;牛血清白蛋白(纯度≥98%) 合肥千盛生物科技有限公司;戊二醛(纯度50%) 上海泰坦科技股份有限公司;考马斯亮蓝R-250(纯度≥90%) 上海麦克林生化科技有限公司;三氯乙酸、磷酸氢二钠、磷酸二氢钠、盐酸、氢氧化钠、无水乙醇、酒石酸钾钠、硫酸铜、氯化钾、氯化镁、磷酸二氢钾、磷酸氢二钾、乙二胺四乙酸(ethylenediaminetetraacetic acid,EDTA)、氯化钠、甲醇、乙酸(均为分析纯) 国药集团化学试剂有限公司。

1.2 仪器与设备

DHG-9030A型电热恒温鼓风干燥箱 上海三发科学仪器有限公司;TAS-99FA型分光光度计 北京普析仪器有限责任公司;BA210型光学显微镜 麦克奥迪实业集团有限公司;Sigma 300型扫描电子显微镜德国Zeiss有限公司;D-500Pro型均质机 维根技术(北京)有限公司;KDC-160HR型高速冷冻离心机科大创新股份有限公司中佳分公司;HI5222型pH计梅特勒-托利多仪器(上海)有限公司;PEN3型电子鼻德国Airsense公司;NR110型色差仪 深圳市三恩时科技有限公司;DK-S24型水浴锅 上海三发科学仪器有限公司;松肉针(24 针(4×6),直径4 mm,针长度约20 mm) 揭阳市榕城区大当佳不锈钢制品厂。

1.3 方法

1.3.1 样品制备

去除新鲜牛肉表面筋膜和可见脂肪,分割成8.0 cm×5.0 cm×1.5 cm的块状,然后进行嫩化。选择针刺法、弱碱注射法(碳酸钠)、弱酸浸泡法(苹果酸)和酶解法(木瓜蛋白酶)对牛肉进行嫩化处理,处理方式如下:对照(Con)组:不作嫩化处理;针刺处理(NP)组:用松肉针垂直于肌肉纤维针刺1 次;针刺+碳酸钠处理(NPSC)组[9]:在针刺处理的基础上,注射8%(m/m)0.35 mol/L碳酸钠溶液,并在4 ℃下静置12 h;针刺+苹果酸处理(NPMA)组[14]:在针刺处理的基础上,按1∶1(g/mL)添加5 g/100 mL苹果酸溶液,混匀后在4 ℃下静置24 h;针刺+木瓜蛋白酶处理(NPP)组[15]:在针刺处理的基础上,按1∶1(g/mL)添加100 U/g木瓜蛋白酶液,并在55 ℃下处理2 h。

将嫩化后的牛肉在高火(1 800 W)下预煮30 min,冷却后,沿着肌肉纤维切成5.0 cm×1.5 cm×1.0 cm(约8 g)的条状,加入调味料(盐1.5%(m/m,以牛肉质量计,下同)、白砂糖3%、生抽2%、老抽1.5%、味精0.3%、五香粉0.25%、小茴香0.1%、干辣椒0.3%和花椒0.3%),然后在高火下煮制30 min后,转低火(900 W)煮制30 min。将卤煮后的牛肉在70 ℃下干燥约3.5 h至水分质量分数为25%。

1.3.2 pH值和水分含量测定

pH值的测定参考GB 5009.237—2016《食品安全国家标准 食品pH值的测定》中的方法进行,每组测定5 次。

水分含量的测定参考GB 5009.3—2016《食品安全国家标准 食品中水分的测定》中的直接干燥法进行,每组测定3 次。

1.3.3 硬度测定

参考张新斌[16]的方法并稍作修改。将牛肉干沿垂直肌纤维方向切成1 cm×1 cm×1 cm的肉块,采用P/45CSS探头进行测定。参数设置:测量模式为质地剖面分析,探头至样品表面高度10 mm,触发力5.0 g,测前速率1 mm/s,测中速率5 mm/s,测后回弹速率5 mm/s,时间间隔5.0 s。测定牛肉干样品硬度,每组测定6 次。

1.3.4 肌原纤维小片化指数(myofibril fragmentation index,MFI)测定

参照罗辉等[17]的方法并稍作修改。称取样品1.0 g,加入10 mL MFI缓冲液(0.1 mol/L KCl、8.8 mmol/L KH2PO4、11.2 mmol/L K2HPO4、1.0 mmol/L MgCl2、1.0 mmol/L EDTA,pH 7.0,4 ℃),将混合物在冰浴中10 000 r/min均质30 s,纱布过滤以去除结缔组织,收集滤液。沉淀部分用15 mL MFI缓冲液悬浮,在4 ℃下1 000×g离心15 min,收集上清液,重复2 次,合并滤液和上清液。用双缩脲法调节蛋白质量浓度为0.50 mg/mL。将其于540 nm波长处吸光度×200即可得到MFI。此外,将上述部分均质好的样品在光学显微镜下放大,观察肌原纤维碎片,采用数码目镜进行拍照。

1.3.5 肌纤维微观结构观察

参照Ismail等[18]的方法并稍作修改。将待测样品切成约5 mm×4 mm×2 mm的肉块,用2.5%(V/V)戊二醛溶液在4 ℃下固定24 h(固定液按1∶20(g/mL)加入)。用0.1 mol/L磷酸缓冲液(pH 7.3)冲洗后,用蒸馏水冲洗,然后分别用体积分数30%、50%、70%、80%、90%的乙醇溶液进行梯度脱水,每个梯度3 次,每次10 min;随后用无水乙醇脱水2 次,每次1 h。将制备好的样品粘于导电胶上,喷金50 s,采用扫描电子显微镜,加速电压5 kV,放大(×200)观察。

1.3.6 盐溶性蛋白十二烷基硫酸钠-聚丙烯酰胺凝胶电泳(sodium dodecyl sulfate-polyacrylamide gel electrophoresis,SDS-PAGE)

盐溶性蛋白的提取参考吴倩蓉等[19]的方法进行。其中,蛋白质量浓度采用双缩脲法测定,并稀释为1.00 mg/mL。

SDS-PAGE参考Pan Qiong等[20]的方法并稍作修改。将蛋白质样品与5×样品缓冲液按4∶1(V/V)混合,沸水浴加热5 min,冷却。选择4%~20%的梯度胶板,向泳道中分别加入蛋白质样品15 μL、Marker及缓冲液各5 μL。电泳条件:80 V、30 min,110 V、1 h。电泳结束后,用考马斯亮蓝R-250染液染色30 min,随后进行振荡脱色(考马斯亮蓝脱色液)并拍照,将凝胶放入7.5%(V/V)乙酸溶液中保存。

1.3.7 感官评定

样品的感官特性由10 名经过训练的感官评定小组成员进行评估。样品随机提供给小组成员,由他们对产品的色泽、质地、风味和组织状态进行评价,满分为100,详细的评分标准如表1所示。考虑到感官偏好具有主观性,参考Fan Yuxia等[21]的建议,整体可接受度评分按下式计算:

表1 牛肉干的感官评定标准
Table 1 Sensory evaluation criteria for beef jerky

感官特性评分标准分值色泽颜色均匀,呈棕黄色13~15颜色较为均匀,呈棕黄色10~12颜色不均匀,呈黑色<10风味香气浓郁,风干味明显,无异味26~30香气较浓郁,风干味一般,无异味20~25香气很淡,无风干味,有腥味<20质地软硬适中,咀嚼性好36~40软硬不一,咀嚼性一般30~35较硬,不易咀嚼<30组织状态厚度和组织结构完整13~15厚度和组织结构基本完整10~12组织结构不完整,厚度不一致<10

整体可接受度评分=S1×10%+S2×30%+S3×40%+S4×10%

式中:S1为色泽评分;S2为风味评分;S3为质地评分;S4为组织状态评分。

1.4 数据处理

每组实验重复3 次,结果以平均值±标准差表示。利用SPSS Statistics 26.0软件进行ANOVA方差分析,采用Duncan法进行显著性检验(P<0.05)。采用Origin 2022 Pro软件绘图。

2 结果与分析

2.1 嫩化处理方式对牛肉干pH值和水分含量的影响

由表2可知,针刺处理对牛肉干pH值无显著影响。NPP组的pH值升高,这可能与木瓜蛋白酶水解肌纤维蛋白释放游离氨基酸有关[22]。添加碳酸钠后,样品的pH值较Con组显著提高(P<0.05),而添加苹果酸后,样品的pH值显著降低(P<0.05),这归因于各溶液的酸、碱特性,导致肌肉pH值相应发生变化。pH值变化可以影响氨基酸基团的电离,增加蛋白质极性并增加其与周围水分子形成的氢键数量[23]。Ribeiro等[24]研究表明,诱导肌肉pH值发生变化可以有效改变肉的嫩度。

表2 不同嫩化处理方式对牛肉干pH值和水分含量的影响
Table 2 Effect of different tenderization treatments on the pH value and water content of beef jerky

注:同行小写字母不同表示差异显著(P<0.05)。

指标ConNPNPPNPSCNPMA pH6.71±0.02c 6.70±0.03c 7.18±0.02b 7.52±0.01a 6.56±0.04d水分质量分数/% 73.73±0.71d 73.82±0.46dc 78.94±0.24a 76.38±0.40b 75.15±0.52bc

肉的水分含量是影响肉及肉制品质地的主要因素[25]。NPP组牛肉水分含量显著增加(P<0.05),约为Con组的1.07 倍。此外,NPSC和NPMA组分别约为Con组的1.04 倍和1.02 倍,而NP组无显著变化。这可能是因为木瓜蛋白酶能够有效水解高聚合度蛋白质,使肉质结构更加松散,从而更好地吸收和锁住水分[26]

2.2 嫩化处理方式对牛肉干硬度的影响

由图1可知,所有嫩化处理均在一定程度上降低了牛肉干硬度。相较于Con组,NP和NPSC组牛肉干的硬度改善效果不显著,NPMA和NPP组牛肉干硬度均显著降低(P<0.05),其中针刺+木瓜蛋白酶处理的作用效果更为明显,可使牛肉干硬度下降26.05%,与先前的报道[27]结果一致。Barekat等[28]研究发现,酶处理对肉品的硬度降低可能与肌纤维间隙增加及结构松散有关。

图1 不同嫩化处理方式对牛肉干硬度的影响
Fig.1 Effect of tenderization methods on the hardness of beef jerky

小写字母不同表示差异显著(P<0.05)。图2B同。

2.3 嫩化处理方式对牛肉干MFI的影响

MFI是评估肌纤维蛋白水解程度的关键指标,MFI越高,表明肌纤维越容易断裂,肉质嫩度越高[29]。如图2所示,Con组(3.25±0.22)和NP组(3.31±0.19)的MFI无显著差异,说明针刺处理对MFI的影响不显著。将针刺与其他方式结合后,MFI分别增加至7.53±0.42(NPP组)、4.60±0.45(NPSC组)和4.68±0.35(NPMA组),相较Con组分别提高131.69%、41.54%和44.00%。

图2 不同嫩化处理的牛肉干光学显微镜图像(A)及MFI(B)
Fig.2 Optical microscope images (A) and MFI (B) of beef jerky with different tenderization treatments

A1.Con;A2.NP;A3.NPP;A4.NPSC;A5.NPMA。

由图2可知,块状肌原纤维多的样品(C、NP、NPSC、NPMA组),其MFI较低,而块状肌原纤维少的样品(NPP组)MFI较高。其中,经木瓜蛋白酶处理的样品块状肌原纤维明显少于其他组,说明木瓜蛋白酶相比于碳酸钠和苹果酸,能更有效地分解或弱化肌纤维,促使其断裂。其主要原因可能是经木瓜蛋白酶处理后,牛肉纤维受损,肌浆蛋白和肌原纤维蛋白的溶解和裂解性增强,促进内源性酶释放,从而提高牛肉干嫩度[30]

2.4 嫩化处理方式对牛肉干微观结构的影响

由图3可知,Con组和NP组的肌原纤维排列紧密且有序,NPP、NPSC和NPMA组样品的表面粗糙且肌纤维间距增大,NPP组中还观察到明显的肌纤维断裂现象。Zou Ye等[31]指出,肌纤维的状态决定肉的韧性,肌纤维结构的破损将引起肉的机械强度下降。本研究中,虽然碳酸钠和苹果酸对肌纤维结构也产生了一定的影响,但效果不如木瓜蛋白酶明显。孙树远等[15]对比木瓜蛋白酶和超高压技术,发现木瓜蛋白酶对肉品的嫩化效果更为显著,其使肌肉中的纤维蛋白和胶原蛋白发生不同程度的降解,破坏肌原纤维完整性,进而达到嫩化的目的。

图3 不同嫩化处理方式对牛肉干微观结构的影响(×200)
Fig.3 Effects of different tenderization treatments on the microstructure of beef jerky (×200)

A.Con;B.NP;C.NPP;D.NPSC;E.NPMA。

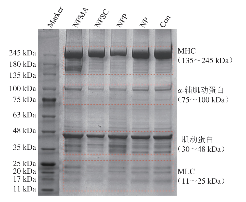
2.5 嫩化处理方式对牛肉干盐溶性蛋白的影响

如图4所示,Con组与NP组的条带高度相似,表明针刺处理对肌肉蛋白未产生明显影响。除NP组外,其他处理组均对盐溶性蛋白的组成产生了一定影响,其中针刺+木瓜蛋白酶处理的效果最为显著,该处理提升了低分子质量蛋白(如肌球蛋白轻链(myosin light chain,MLC)、肌动蛋白等)的比例,而高分子质量蛋白(肌球蛋白重链(myosin heavy chain,MHC)等)占比明显降低,说明木瓜蛋白酶对肌动球蛋白具有较强的分解作用,形成较多肌动蛋白和MLC[32]。在NPSC组中,MHC区的条带相较于Con组和NP组较浅,但比NPP组深,同时小分子蛋白含量低于NPP组,这表明碳酸钠在降解大分子蛋白方面的能力不及木瓜蛋白酶。相较于NPP组,NPMA组情况与NPSC组相似,但其条带的颜色比NPSC组深,说明经针刺+碳酸钠处理后的牛肉干盐溶性蛋白损失较多,可能与pH值升高有关[33]

图4 不同嫩化处理方式下牛肉干的SDS-PAGE图谱
Fig.4 SDS-PAGE profiles of beef jerky under different tenderization treatments

2.6 嫩化处理方式对牛肉干感官品质的影响

如表3所示,在色泽上,NPSC组色泽得分较低,其他处理组色泽得分无显著差异;在风味和组织结构上,4 种处理组间同样无显著差异;在质地上,4 种处理组间差异显著(P<0.05),其中,Con组和NP组因质地较硬,得分较低,其他组相较于Con组得分均有明显提升,特别是NPP组得分最高,但与NPMA组差异不显著。经针刺+木瓜蛋白酶处理的牛肉干具有最高的总体可接受度,其色泽得分接近Con组和NPMA组,肉干总体香气浓郁、回味悠长、组织状态良好且硬度适中。其次是针刺+苹果酸处理后的牛肉干,其总体可接受度与NPP组无显著差异,但其硬度明显高于NPP组。相比之下,针刺+碳酸钠处理组的牛肉干颜色暗淡、质地更硬,风味和口感欠佳。主要原因是碳酸钠使牛肉pH值升高,导致部分胶原纤维溶解并引起结构变化,在高温烘烤过程中,水分迅速流失,热力作用使肌纤维收缩,从而降低了其对水分子的束缚能力,导致牛肉干更加紧实、口感较硬,同时颜色变暗,最终影响其总体可接受度[34-35]

表3 不同嫩化处理方式对牛肉干感官品质的影响
Table 3 Effects of different tenderization treatments on the sensory quality of beef jerky

注:同列小写字母不同表示显著差异(P<0.05)。

组别色泽评分风味评分质地评分组织结构评分总体可接受度评分Con11.10±1.80a 16.40±3.15a 18.10±3.26c8.70±1.66a15.25±1.58c NP10.80±1.51a 16.60±2.98a 20.10±5.30c8.70±1.45a16.05±2.71c NPP11.90±1.16a 19.70±1.30a 33.00±1.84a9.70±1.45a22.46±0.78a NPSC6.40±2.84b 17.00±3.97a 27.70±2.98b8.50±1.73a18.31±2.00b NPMA 11.70±1.45a 19.20±2.46a 29.90±1.33ab9.60±1.39a21.02±0.98a

3 讨 论

3.1 肉制品的水分含量与肉质硬度

肉品工业中也常采用一些增强肉制品保水性的方法提升肉制品的嫩度,如添加磷酸盐、淀粉等成分提高产品的水分含量[36]。当水分含量上升时,产品的硬度下降,嫩度上升。在相关报道中,一些被认为能提高肉质嫩度或降低肉质硬度的方法实际上也是通过影响肉制品的水分含量实现的。例如,Ma Yuan等[11]利用木瓜蛋白酶对牦牛肉进行嫩化,结果表明,木瓜蛋白酶通过改变肌肉纤维的空间结构锁住水分,从而提高牛肉的嫩度。郑娇等[14]研究乳酸、醋酸、柠檬酸对风干牦牛肉水分含量、MFI及风味等的影响,结果显示,有机酸处理不仅可以丰富风干牦牛肉风味,还能提高其水分含量和嫩度。赵改名等[37]探究注射碳酸钠对风干牛肉嫩化效果及品质的影响,结果表明,碳酸钠可以影响牛肉的水分含量,在提高牛肉嫩度的同时,还可降低牛肉干的咀嚼性。

肉干类制品是一种低水分含量的肉制品,为了确保肉干较长的保质期,GB/T 23969—2022《肉干质量通则》要求肉干的水分质量分数应低于20%。若单纯改变肉制品的水分含量,可能会产生保藏性下降的问题,同时该产品可能不再属于肉干类产品,而成为水分含量较高的半干或半湿类制品。依靠提高肉制品保水性的嫩化方式可能会因产品水分含量的降低导致嫩化效果也随之降低,如苹果酸和碳酸钠浸渍处理在其他研究[9,38]中因提升了保水性而提高了肉质的嫩化效果,但在本研究中却因干制品水分含量低,导致其硬度降低效果均不甚理想。

3.2 肌肉的组织结构与肉质硬度

肌肉组织主要是由肌肉纤维及结缔组织膜组成,两者均对肉干的硬度产生重要影响。肌肉组织中占大部分空间的水被脱除后,肌纤维的密度将成倍上升,同时失去水分的润滑作用,从而形成干硬的形态[39]。若想降低肉干的硬度,应从降低肌纤维的物理强度入手,如采用切断肌纤维、分解肌纤维等方式。

木瓜蛋白酶被认为是一种能分解肌纤维蛋白和胶原蛋白的植物蛋白酶,经过木瓜蛋白酶作用,肉干的肌纤维和结缔膜结构的完整性和强度下降,从而使最终产品的硬度下降[28]。本研究中的MFI、肌纤维结构、盐溶性蛋白组成结果均反映木瓜蛋白酶有效分解了肌纤维及其组织结构。

物理切割的方式也是常用于提升肉质嫩度的方法,该方式直接利用刀、针、锤等工具,物理破坏其原有结构的完整性,达到使肉断裂、松散的目的,从而提升肉的嫩度或降低肉的硬度[6]。本研究中采用的针刺工艺也能在一定程度上降低肉质硬度。为了提升改善效果,可以增加施用的次数,但过度施用可能会造成外观形态的明显变化。

4 结 论

通过对比4 种不同的嫩化处理方式,发现单独针刺处理、针刺+碳酸钠处理、针刺+苹果酸处理、针刺+木瓜蛋白酶处理均会降低牛肉干的硬度,其中针刺结合木瓜蛋白酶处理对牛肉干硬度的改善效果最佳。针刺结合木瓜蛋白酶处理对肌原纤维蛋白产生分解作用,破坏了肌纤维的完整性,导致其机械强度降低,更易断裂,从而降低了牛肉干的硬度。相较于针刺+木瓜蛋白酶处理,针刺处理、针刺+碳酸钠处理和针刺+苹果酸处理的作用有限,仍有明显差距。

参考文献:

[1] MARTINEZ H A, MILLER R K, KERTH C, et al.Prediction of beef tenderness and juiciness using consumer and descriptive sensory attributes[J].Meat Science, 2023, 205: 109292.DOI:10.1016/j.meatsci.2023.109292.

[2] ZHANG W K, ZHANG C J, QI B, et al.Hot-air impingement roast drying of beef jerky: effect of relative humidity on quality attributes[J].Drying Technology, 2023, 41(2): 277-289.DOI:10.1080/07373937.20 22.2049294.

[3] GAO S M, XU Z C, WANG H P, et al.Effect of ultrasonic processing on beef tenderness in longissimus lumborum during aging by proteomics analysis[J].Journal of Food Composition and Analysis,2024, 131: 106220.DOI:10.1016/j.jfca.2024.106220.

[4] 刘淑华, 李彩云, 张玉斌.超高压联合乳酸钙处理对牛肉嫩化的影响[J].食品与发酵工业, 2024, 50(17): 275-283.DOI:10.13995/j.cnki.11-1802/ts.038967.

[5] 包玉龙, 徐万军, 贾世亮, 等.肉类嫩度形成机理及嫩化调控研究进展[J].肉类研究, 2023, 37(4): 34-40.DOI:10.7506/rlyj1001-8123-20221230-163.

[6] 时海波, 诸永志, 方芮, 等.宰后肉品嫩化技术及其作用机理研究进展[J].食品科学, 2020, 41(23): 311-321.DOI:10.7506/spkx1002-6630-20191106-075.

[7] WOINUE Y, AYELE A, HAILU M, et al.Comparison of different meat tenderization methods: a review[J].Food Research, 2019, 4(3):571-577.DOI:10.26656/fr.2017.4(3).239.

[8] MOHD AZMI S I, KUMAR P, SHARMA N, et al.Application of plant proteases in meat tenderization: recent trends and future prospects[J].Foods, 2023, 12(6): 1336.DOI:10.3390/foods12061336.

[9] 郝婉名, 祝超智, 赵改名, 等.碳酸钠对牛肉嫩化效果及品质的影响[J].食品与发酵工业, 2019, 45(20): 157-163.DOI:10.13995/j.cnki.11-1802/ts.020941.

[10] WANG F L, TANG H G.Influence of malic acid marination on characteristics of connective tissue and textural properties of beef Semitendinosus muscle[J].CyTA-Journal of Food, 2018, 16(1): 730-737.DOI:10.1080/19476337.2018.1447017.

[11] MA Y, YUAN Y P, BI X F, et al.Tenderization of yak meat by the combination of papain and high-pressure processing treatments[J].Food and Bioprocess Technology, 2019, 12(4): 681-693.DOI:10.1007/s11947-019-2245-3.

[12] GAO M R, XU Q D, ZENG W C.Effect of tea polyphenols on the tenderness of yak meat[J].Journal of Food Processing and Preservation, 2020, 44(5): e14433.DOI:10.1111/jfpp.14433.

[13] WAKITA Y, TAKAHASHI M, TAMIYA S, et al.Effect of marination in lemon juice on beef tenderization and in vitro gastric digestibility[J].Journal of the Science of Food and Agriculture, 2024, 104(2): 809-817.DOI:10.1002/jsfa.13006.

[14] 郑娇, 唐善虎, 李思宁, 等.有机酸前处理对风干牦牛肉理化性质及挥发性风味物质的影响[J].食品与发酵工业, 2020, 46(7): 97-104.DOI:10.13995/j.cnki.11-1802/ts.022727.

[15] 孙树远, 陈琪, 何静, 等.木瓜蛋白酶与超高压技术嫩化驼肉的研究[J].中国食品学报, 2023, 23(4): 239-250.DOI:10.16429/j.1009-7848.2023.04.023.

[16] 张新斌.超声波辅助蛋白酶对牛肉干品质的影响[D].呼和浩特:内蒙古农业大学, 2024.DOI:10.27229/d.cnki.gnmnu.2024.000362.

[17] 罗辉, 杨波, 李亚蕾, 等.宰后成熟期间能量物质、pH值和肌原纤维小片化指数对秦川牛肉嫩度的影响及其机理[J].食品科学, 2022,43(11): 171-179.DOI:10.7506/spkx1002-6630-20210526-318.

[18] ISMAIL M A, CHONG G H, ISMAIL-FITRY M R.Comparison of the microstructural, physicochemical and sensorial properties of buffalo meat patties produced using bowl cutter, universal mixer and meat mixer[J].Journal of Food Science and Technology, 2021, 58(12):4703-4710.DOI:10.1007/s13197-020-04960-y.

[19] 吴倩蓉, 朱宁, 陈松, 等.加工工艺对酱牛肉中蛋白质降解及风味物质的影响[J].食品科学, 2021, 42(12): 76-84.DOI:10.7506/spkx1002-6630-20200518-206.

[20] PAN Q, ZHOU Y, WANG Y, et al.Effects of ultrasound-assisted drycuring on water holding capacity and tenderness of reduced-sodium pork by modifying salt-soluble proteins[J].Food Chemistry, 2024,453: 139704.DOI:10.1016/j.foodchem.2024.139704.

[21] FAN Y X, GUO C L, ZHU Y W, et al.Effects of different drying methods on physicochemical, textural, flavor, and sensory characteristics of yak jerky[J].Meat Science, 2024, 216: 109570.DOI:10.1016/j.meatsci.2024.109570.

[22] MARINO R, DELLA MALVA A, CAROPRESE M, et al.Proteomics in bovine semitendinosus muscle to assess emerging strategies based on papain injection and ultrasounds on meat tenderization process[J].Meat Science, 2023, 200: 109147.DOI:10.1016/j.meatsci.2023.109147.

[23] BAREKAT S, SOLTANIZADEH N.Application of high-intensity ultrasonic radiation coupled with papain treatment to modify functional properties of beef longissimus lumborum[J].Journal of Food Science and Technology, 2019, 56(1): 224-232.DOI:10.1007/s13197-018-3479-1.

[24] RIBEIRO W O, OZAKI M M, DOS SANTOS M, et al.Evaluating different levels of papain as texture modifying agent in bovine meat loaf containing transglutaminase[J].Meat Science, 2023, 198: 109112.DOI:10.1016/j.meatsci.2023.109112.

[25] 张豪, 高贞.木瓜蛋白酶对调理猪排品质的影响[J].中国食品添加剂, 2023, 34(7): 228-233.DOI:10.19804/j.issn1006-2513.2023.07.029.

[26] XU J H, CAO H J, ZHANG B, et al.The mechanistic effect of bromelain and papain on tenderization in jumbo squid (Dosidicus gigas) muscle[J].Food Research International, 2020, 131: 108991.DOI:10.1016/j.foodres.2020.108991.

[27] ZHAO G Y, ZHOU M Y, ZHAO H L, et al.Tenderization effect of cold-adapted collagenolytic protease MCP-01 on beef meat at low temperature and its mechanism[J].Food Chemistry, 2012, 134(4):1738-1744.DOI:10.1016/j.foodchem.2012.03.118.

[28] BAREKAT S, SOLTANIZADEH N.Improvement of meat tenderness by simultaneous application of high-intensity ultrasonic radiation and papain treatment[J].Innovative Food Science & Emerging Technologies, 2017, 39: 223-229.DOI:10.1016/j.ifset.2016.12.009.

[29] XIONG G Y, FU X Y, PAN D M, et al.Influence of ultrasoundassisted sodium bicarbonate marination on the curing efficiency of chicken breast meat[J].Ultrasonics Sonochemistry, 2020, 60: 104808.DOI:10.1016/j.ultsonch.2019.104808.

[30] CHEN X, TUME R K, XU X L, et al.Solubilization of myofibrillar proteins in water or low ionic strength media: classical techniques,basic principles, and novel functionalities[J].Critical Reviews in Food Science and Nutrition, 2017, 57(15): 3260-3280.DOI:10.1080/104083 98.2015.1110111.

[31] ZOU Y, LI L, YANG J, et al.Effect of ultrasound assisted collagen peptide of chicken cartilage on storage quality of chicken breast meat[J].Ultrasonics Sonochemistry, 2022, 89: 106154.DOI:10.1016/j.ultsonch.2022.106154.

[32] SHANG S, WU B C, FU B S, et al.Enzyme treatment-induced tenderization of puffer fish meat and its relation to physicochemical changes of myofibril protein[J].LWT-Food Science and Technology,2022, 155: 112891.DOI:10.1016/j.lwt.2021.112891.

[33] LEMASTER M N, CHAUHAN S S, WICK M P, et al.Potassium carbonate improves fresh pork quality characteristics[J].Meat Science,2019, 156: 222-230.DOI:10.1016/j.meatsci.2019.05.019.

[34] KIRKPATRICK L T, GÓMEZ J F M, BELINE M, et al.Muscle of dark and normal beef differs metabolically[J].Meat Science, 2023,206: 109344.DOI:10.1016/j.meatsci.2023.109344.

[35] KHATRI Y, HUFF-LONERGAN E.Effect of postmortem pH on the physical, biochemical, and sensory characteristics of bovine longissimus thoracis et lumborum muscle[J].Food Science &Nutrition, 2023, 11(4): 2002-2011.DOI:10.1002/fsn3.3235.

[36] GARMYN A, HARDCASTLE N, BENDELE C, et al.Exploring consumer palatability of Australian beef fajita meat enhanced with phosphate or sodium bicarbonate[J].Foods, 2020, 9(2): 177.DOI:10.3390/foods9020177.

[37] 赵改名, 郝婉名, 祝超智, 等.碳酸钠在嫩化型风干牛肉中的应用效果研究[J].食品科学技术学报, 2020, 38(4): 103-110.DOI:10.3969/j.issn.2095-6002.2020.04.013.

[38] 王复龙, 高菲菲, 彭增起.pH变换腌制对牛胃平滑肌嫩度、保水性及微观结构的影响[J].食品工业科技, 2016, 37(3): 110-113; 118.DOI:10.13386/j.issn1002-0306.2016.03.014.

[39] LI X, XIE X L, ZHANG C H, et al.Role of mid- and far-infrared for improving dehydration efficiency in beef jerky drying[J].Drying Technology, 2018, 36(3): 283-293.DOI:10.1080/07373937.2017.1326129.

Effect of Different Tenderization Treatments on the Quality of Beef Jerky

XU Wenxing1, GAO Yuxin1, ZHENG Haibo1,*, WANG Ningqing2, XU Xuan1
(1.College of Food Science and Engineering, Anhui Science and Technology University, Chuzhou 239001, China;2.Anhui Chuhaha Foods Technology Co.Ltd., Anqing 246000, China)

Abstract: In order to reduce the hardness of beef jerky and to make it easier to chew, the effect of four tenderization methods, namely, needling, needling followed by malic acid treatment, needling followed by injection of sodium carbonate,and needling followed by papain treatment on the eating quality of beef jerky.The results showed that compared with the non-tenderized control group, all tenderization methods could reduce the hardness of beef jerky, with needling alone being the least effective among them.Needling + malic acid soaking was better than needling, but less effective than needling +papain treatment.The hardness of beef jerky was significantly reduced by needling + papain treatment (P < 0.05).In addition, the results of myofibril fragmentation index (MFI) and sodium dodecyl sulfate-polyacrylamide gel electrophoresis (SDS-PAGE) indicated that needling + papain treatment was effective in promoting protein degradation, and scanning electron microscopic observation showed that all tenderization treatments could enhance the breakdown of connective tissue,with needling + papain treatment being the most effective.Overall, this combined treatment can improve the texture and sensory characteristics of beef jerky more effectively than the other methods, and can therefore be used for the tenderization of beef jerky products.

Keywords: beef jerky; quality; connective tissue; fibrous structure; needling + papain tenderization

收稿日期:2025-03-27

基金项目:亳州市重大专项揭榜挂帅项目(bzzd2021009);安徽科技学院人才项目(SPWD202001);国家级创新创业项目(202310879002)

第一作者简介:徐文星(1999—)(ORCID: 0009-0006-6620-1317),女,硕士研究生,研究方向为畜产品加工。E-mail: 2900710707@qq.com

*通信作者简介:郑海波(1982—)(ORCID: 0000-0001-5667-6454),男,副教授,博士,研究方向为畜产品加工。E-mail: zhenghaibo-anhui@163.com

DOI: 10.7506/rlyj1001-8123-20250327-092

中图分类号:TS251.5

文献标志码:A

文章编号:1001-8123(2026)02-0041-07

引文格式:

徐文星, 高雨欣, 郑海波, 等.不同嫩化处理对牛肉干品质的影响[J].肉类研究, 2026, 40(2): 41-47.DOI:10.7506/rlyj1001-8123-20250327-092.http://www.rlyj.net.cn

XU Wenxing, GAO Yuxin, ZHENG Haibo, et al.Effect of different tenderization treatments on the quality of beef jerky[J].Meat Research, 2026, 40(2): 41-47.DOI:10.7506/rlyj1001-8123-20250327-092.http://www.rlyj.net.cn