KCl部分替代NaCl对酸肉内源蛋白酶及其品质的影响

袁灿琪,尚华丽,黄诗琪,胡青青,田 雯,吴新宇,张鑫鑫,钟小林,朱秋劲,周 颖*

(贵州大学酿酒与食品工程学院,贵州省生态特色食品新质化加工与贮藏全省重点实验室,贵州 贵阳 550025)

摘 要:传统酸肉发酵依赖高浓度食盐,长期食用会导致健康风险增加。从低盐发酵的角度出发,以不同比例氯化钾(KCl)部分替代(0%~40%)氯化钠(NaCl)发酵酸肉,通过感官评定、电子舌分析、十二烷基硫酸钠-聚丙烯酰胺凝胶电泳、氨基酸分析等方法,探究其对酸肉内源蛋白酶及其品质变化的影响。结果显示:20% KCl替代组酸肉的感官综合评分最高,且显著高于对照组(P<0.05);电子舌分析发现,20% KCl替代组酸肉的酸味、涩味、苦味响应值显著低于对照组(P<0.05),丰富度无显著差异,而鲜味和咸味响应值显著高于对照组(P<0.05);20% KCl替代组酸肉的红度值、pH值和水分含量均显著高于对照组(P<0.05);随着KCl替代比例的增加,酸肉中的内源性组织蛋白酶B、L活性显著降低(P<0.05),蛋白质降解程度下降;氨基酸分析发现,20% KCl替代组酸肉的苦味氨基酸含量显著低于对照组(P<0.05),而鲜味和甜味氨基酸含量显著高于对照组(P<0.05);综合比较来看,20% KCl替代比例是酸肉低盐加工较适合的条件。

关键词:酸肉;氯化钾;替代盐;内源性蛋白酶;品质

酸肉作为贵州少数民族特色食品,是一种高酸性发酵肉制品,兼具清爽口感与传统风味,但其传统腌制工艺导致盐含量高达5%。然而,在酸肉的生产加工过程中,钠盐又是必不可少的原料,具有增加风味、防腐保鲜等作用。高盐环境在抑制致病菌和腐败菌生长的同时,能促进酸肉风味物质的形成,是保证酸肉品质的关键一环。众所周知,长期摄入过多钠盐会引发心脑血管等疾病[1]。因此,在如何保证酸肉品质的基础上降低钠盐用量,是酸肉产业的必然发展趋势。

目前,针对发酵肉制品低钠盐方向的开发与技术研究不断增加,主要集中在以下五方面:1)直接降低食盐添加量;2)采用食盐替代物(如氯化物、乳酸盐、咸味肽等);3)采用咸味增稠剂;4)改变食盐的物理形态增加其咸味;5)采用非热加工技术辅助腌制[2]。其中以食盐替代物降低钠盐含量为主要手段,由于钾离子和钠离子的理化性质相似,且氯化钾(KCl)能有效降低心血管疾病的发生风险,因此KCl成为低盐食品中应用最广泛的钠盐替代物。

蛋白质降解是肉制品发酵成熟过程中的主要生化变化之一,与发酵肉制品特殊风味和独特品质的形成显著相关。郑璞等[3]对盘县火腿的研究也证实了这一点,火腿中蛋白质的降解主要是通过内源蛋白酶的作用,使蛋白质降解,释放小肽和氨基酸。Desmond[4]的研究表明,氯化钠(NaCl)浓度对调节蛋白酶的活性具有重要作用,在较低NaCl浓度下,蛋白质水解酶具有较高的活性,而过多的蛋白质水解会使产品的结构特性变差。李平等[5]的研究表明,降低干腌火腿盐添加量能够实现抗氧化肽含量的提升,盐添加量8%时,肌肉中内源酶活性的保留程度得到提高,可促进发酵阶段多肽的生成。在肉制品发酵机制研究中,普遍认为组织蛋白酶B、D、L对肌肉蛋白质有着广泛的降解作用[6]。其中,有研究[7]表明,组织蛋白酶B可作用于肌动蛋白并产生大部分肽类,且肌动蛋白作为肌肉组织中含量最丰富的蛋白质之一,其降解对发酵肉制品质地和风味的形成具有重要意义。内源酶的活性与小肽的生成数量及发酵肉制品的感官特征高度相关,表明内源酶在发酵肉制品的特征风味形成过程中起着重要作用[8]。然而,发酵肉中盐离子的变化对内源蛋白酶的活性具有重要影响。Armenteros等[9]运用复合盐(25% KCl+15% CaCl2+5% MgCl2、50% KCl+15% CaCl2+5% MgCl2)替代NaCl制作低钠干腌肉,发现替代盐组的组织蛋白酶B和B+L活性均显著高于对照组(P<0.05);Zhang Xin等[10]采用金属离子K+、Ca2+、Mg2+和Zn2+对Na+进行部分替代,发现CaCl2、MgCl2部分替代NaCl对组织蛋白酶B活性有一定的促进作用,而对组织蛋白酶H和L活性的影响不显著,并且CaCl2和MgCl2替代组的蛋白水解指数较高;Armenteros等[11]研究KCl、MgCl2和CaCl2对猪肌肉蛋白酶的影响,发现组织蛋白酶、二肽基肽酶III、二肽基肽酶IV和丙氨酰氨基肽酶活性均受到二价盐的强烈抑制,但KCl与NaCl对于蛋白酶的作用非常相似。

目前,关于酸肉减盐方法的研究多集中在微生物的筛选和控制,尚缺乏常用的替代盐对酸肉品质的影响及机制研究。本研究拟采用KCl部分替代NaCl,探讨KCl替代条件下酸肉感官品质、滋味、色泽、质地、内源酶、蛋白降解等的变化,旨在探究KCl替代NaCl对酸肉品质的影响,为低盐酸肉制品的开发提供理论依据。

1 材料与方法

1.1 材料与试剂

猪肉(6 月龄长白猪后腿肉)、圆形糯米、生姜、花椒、盐 市购。

KCl(食用级) 江苏科伦多食品配料有限公司;7-氨基-4-甲基香豆素(7-amino-4-methylcoumarin,AMC)、苄氧羰基-精氨酰-精氨酰-AMC(Z-Arg-Arg-AMC)、苄氧羰基-苯丙氨酰-精氨酰-AMC(Z-Phe-Arg-AMC) 吉尔生化(上海)有限公司;β-硫基乙醇(β-mercaptoethanol,β-ME)、乙二胺四乙酸(ethylene diamine tetraacetic acid,EDTA) 北京生物试剂公司;磷酸钠缓冲液 广州和为医药科技有限公司;二硫苏糖醇(dithiothreitol,DTT) 天津众联化学试剂有限公司;Brij® L23聚氧乙烯月桂醚(Brij® L23 polyoxyethylene lauryl ether,Brij® 35) 美国Sigma-Aldrich公司;H型氨基酸混合标准溶液(2.5 μmol/mL) 中国计量科学研究院;乙二醇双(2-氨基乙基醚)四乙酸(ethylene glycol bis(2-aminoethylether)-N,N,N’,N’-tetraacetic acid,EGTA)飞净生物科技有限公司;其他化学试剂均为市售分析纯。

1.2 仪器与设备

AR224CN电子分析天平 美国Ohaus仪器有限公司;PHS-3C pH计 上海雷磁仪器厂;NH350便捷式电脑色差仪 美国安捷伦科技有限公司;C-LM3B数显肌肉嫩度仪 东北农业大学工程学院;XHF-DY高速分散器 宁波新芝生物科技股份有限公司;tgl-20m离心机湖南迈克尔实验仪器有限公司;SA402B电子舌 日本Insent公司;DYY-6C电泳仪 北京六一仪器厂;L5S紫外分光光度计 上海仪电分析仪器有限公司;SuPer Max 3100酶标仪 美国Molecular Devices公司;S-433D全自动氨基酸分析仪 德国赛卡姆公司;SFY-30水分含量测定仪 深圳冠亚水分仪科技有限公司;HD-6水分活度(water activity,aw)仪 无锡市华科仪器仪表有限公司。

1.3 方法

1.3.1 酸肉的制备

参考张倩等[12]的方法,略作修改,基于后腿肉质量按比例称取60%糯米、1%花椒、3%姜和一定量的食盐(以5%食盐添加量为基准,分别设置对照组、10% KCl替代、20% KCl替代、30% KCl替代、40% KCl替代组)。将姜切片,花椒炒至焦香,糯米炒至淡黄色(约40 min左右)。将猪肉统一切成均匀片状(8 cm×5 cm×1.5 cm)后,加入盐、姜、花椒混匀腌制10 min,腌制结束后同糯米搅拌均匀,迅速将拌好的肉装入密封袋中,真空密封发酵40 d((15±2)℃、相对湿度80%)至成熟,即得到酸肉样品,供后续分析检测。

1.3.2 感官评价

参考吴春霞等[13]的方法,并稍作修改。邀请10 位具有食品专业基础的人员(年龄在20~35 岁之间)担任评分员,对评分员开展3 次培训,使评分员熟悉酸肉样品特性,并对各评定指标和标准开展讨论并达成共识,形成酸肉的评价标准(表1),质量级分为5 个等级,分别为优级、良好、一般、合格、较差,依次赋予分值5、4、3、2、1。感官综合评分=色泽评分×20%+香气评分×20%+质地评分×20%+咸度评分×20%+酸味评分×20%,感官评分4~5表示品质优,可接受性高,2~3表示样品尚可接受,低于2则不能接受。将酸肉样品瘦肉部分切分为1 cm3大小,在煮沸的蒸锅中蒸制30 min后,放置于随机3 位数字编号的透明杯中,随机分发给评分员,评分员在进行评价时不得相互交谈,更换样品时用纯水漱口。

表1 酸肉感官评价标准
Table 1 Criteria for sensory evaluation of sour meat

指标54321色泽瘦肉呈鲜红或玫瑰红色,瘦肉组织纹理紧致分明,糯米呈白色瘦肉呈灰红色,瘦肉组织纹理紧致分明,糯米呈白色瘦肉呈暗粉红色,瘦肉组织纹理略疏软,糯米变为淡黄色瘦肉呈淡粉色,瘦肉组织纹理略疏软;糯米变为黄色瘦肉呈暗灰色,瘦肉组织纹理疏软;糯米变为黄色香气具有浓郁的发酵肉香(酒香味),无其他异味具有发酵肉香(酒香味),无其他异味具有发酵肉香(酒香味),有略微酸败异味具有肉香,有略微酸败异味具有酸败味,异味明显过软或过硬,无韧性和咀嚼性咸度咸度适口略咸或略淡较咸或较淡咸味很重或很淡,略带苦味质地软硬适中,有韧性、有嚼劲软硬适中,有一定韧性和嚼劲略软或略硬,有一定韧性较软或较硬,韧性较差咸味很重或很淡,带有苦味酸味酸度爽口,恰到好处较酸,无不适感无酸味酸中略带涩味酸味带有苦味

1.3.3 电子舌测定

参照周洁等[14]的方法,稍作修改。取10 g酸肉中心部位瘦肉样品,加入100 mL蒸馏水,用高速均质分散机搅碎,经4 层纱布过滤,放置于冰箱4 ℃环境中浸提12 h后,取上清液20 mL加入样品杯中,用电子舌对其酸味、苦味、涩味、咸味、鲜味、回味和丰富度等基本味进行数字化测定。

1.3.4 pH值测定

取2 g肉样加入8 mL水,随后用高速分散器匀浆30 s,用3 层纱布过滤。用pH计测定,待pH计数值稳定后,记录数据,重复测定3 次。

1.3.5 色泽测定

采用色差仪测定色泽,色差仪先用校正板标准化,然后将样品切出横截面垂直紧扣在镜口,测定并记录亮度值(L*)、红度值(a*)和黄度值(b*),每个样品选择3 个位置测定,每个位置重复测定3 次。

1.3.6 剪切力测定

用数显式肌肉嫩度仪进行测定,将样品切成长×宽×高为3 cm×1 cm×1 cm大小,测定剪切力,记录数据,平行测定3 次。

1.3.7 水分含量测定

用水分含量测定仪进行测定,取3 g酸肉样品搅碎,于托盘中心铺平。记录数据,平行测定3 次。

1.3.8 aw测定

利用水分活度仪测定样品aw,仪器校准后,取3 g酸肉样品搅碎,于样品皿内铺平压紧。记录数据,平行测定3 次。

1.3.9 组织蛋白酶B、L活性测定

1.3.9.1 组织蛋白酶粗酶液的制备

按照Zhang Xinxin等[15]的方法,称取1 g酸肉,加入8 mL提取液(50 mmol/L Tris-HCl,pH 7.5,含10 mmol/L β-ME、1 mmol/L EDTA),高速分散机匀浆2 次,每次30 s,间隔10 s,置于冷冻离心机中离心20 min(10 000×g、4 ℃),收集上清液,用0.45 μm水系滤膜过滤后得到粗酶液,4 ℃保存。

1.3.9.2 酶活性测定

按照Zhang Xinxin等[15]的方法,取50 μL粗酶液加入250 μL底物溶液(反应液:50 mmol/L磷酸钠缓冲液,pH 6.0,含4 mmol/L EDTA、2 mmol/L DTT、3.4 mL/L Brij® 35+底物(0.312 5 mmol/L Z-Arg-Arg-AMC))中,用于组织蛋白酶B活性测定。取50 μL粗酶液加入250 μL底物溶液(反应液:50 mmol/L磷酸钠缓冲液,pH 6.0,含4 mmol/L EDTA、2 mmol/L DTT、3.4 mL/L Brij® 35+底物(0.312 5 mmol/L Z-Phe-Arg-AMC))中,用于组织蛋白酶B+L活性测定。将上述混合物在37 ℃水浴中温育20 min,立即加入6 mL乙醇终止反应。

用荧光分光光度计测定激发波长和发射波长分别为380 nm和440 nm时所产生的荧光,同时,用AMC代替底物溶液中的Z-Arg-Arg-AMC或Z-Phe-Arg-AMC绘制标准曲线,酶活性按照Zhang Xinxin等[15]的方法测定。1 个酶活力单位(U)定义为37 ℃下每分钟生成1 nmol AMC所需的酶量。组织蛋白酶L活性由组织蛋白酶B+L活性减去组织蛋白酶B活性计算。

1.3.10 十二烷基硫酸钠-聚丙烯酰胺凝胶电泳(sodium dodecyl sulfate-polyacrylamide gel electropheresis,SDS-PAGE)

1.3.10.1 肌原纤维蛋白的提取

按照Liu Linggao等[16]的方法并稍作修改后进行实验,将酸肉样品切成小块,然后通过均质机以2 000 r/min研磨2 次,每次10 s。用4 倍体积的冷却分离缓冲液(10 mmol/L Na2HPO4/NaH2PO4、0.1 mol/L NaCl、2 mmol/L MgCl2、1 mmol/L EGTA,pH 7.0,4 ℃)提取肌原纤维蛋白,并在4 ℃条件下以3 000×g离心15 min。倒出上清液,沉淀物重复上述步骤2 次。然后,将沉淀物混合在4 倍体积的盐溶液(0.1 mol/L NaCl)中,在3 000×g条件下离心15 min,并洗涤3 次。在最终洗涤之前,用3 层纱布过滤肌原纤维蛋白。收集的最终沉淀物为肌原纤维蛋白,贮存在4 ℃条件下,48 h内使用。

1.3.10.2 SDS-PAGE

按照Zhang Xinxin等[15]的方法和条件,在恒压模式下进行电泳分离,4%浓缩胶中电压为80 V,12%分离胶中增至100 V。凝胶用0.05 g/100 mL考马斯亮蓝G-250溶液染色2 h,用体积分数30%乙酸溶液脱色,直至蛋白质条带清晰。

1.3.11 游离氨基酸含量测定

酸肉样品前处理:称取一定量粉碎后酸肉样品,加入等质量的水,匀浆。称取1 g匀浆后酸肉,用50 mL 0.01 mol/L盐酸溶液浸提30 min,摇匀后过滤,准确取过滤清液2 mL于离心管,加入2 mL 8 g/100 mL磺基水杨酸溶液混匀,静置15 min。于10 000 r/min条件下离心10 min,取上清液,经0.22 μm有机系滤膜过滤后上机,取H型氨基酸混合标准溶液(2.5 μmol/mL),上机标准溶液稀释为100 nmol/L。氨基酸分析仪采用LCAK07/Li型标准分析阳离子型交换树脂;进样量50 μL;通道1采用的检测波长为440 nm,用于检测脯氨酸(Pro),通道2采用的检测波长为570 nm,用于检测除Pro以外的其他氨基酸;输液泵压力3.0~4.2 MPa;洗脱泵流量0.45 mL/min,茚三酮衍生泵流量0.25 mL/min;衍生方式为在线衍生;分离柱温度37 ℃,反应器温度130 ℃;流动相:A为pH 2.9的柠檬酸(93 μmol/mL)-柠檬酸锂(7 μmol/mL)缓冲液;B为pH 4.2的柠檬酸(61.5 μmol/mL)-柠檬酸锂(38.5 μmol/mL)缓冲液;C为pH 8.0的柠檬酸(2.5 μmol/mL)-柠檬酸锂(97.5 μmol/mL)缓冲液;D为0.5 mol/L氢氧化锂再生液。由仪器直接得到游离氨基酸含量,重复测定3 次。

1.4 数据处理

所有实验样品均设置3 次及以上重复实验,结果以平均值±标准差表示,采用SPSS Statistics 26.0软件进行方差分析、独立样本t检验和Duncan’s多重比较,P<0.05表示差异显著;采用Origin 2022软件绘图。

2 结果与分析

2.1 KCl部分替代NaCl对酸肉感官品质的影响

如表2所示,不同KCl替代比例对酸肉香气、质地和咸度评分无显著影响,但随着KCl替代比例的增加,酸肉色泽评分显著提高(P<0.05),而酸味评分与对照组相比无显著差异,其中20% KCl替代组评分最高。Chen Chen等[17]研究不同食盐替代方法对发酵重组火腿的影响,发现30% KCl+70% NaCl和25%乳酸钾+75% NaCl组的感官评分高于100% NaCl对照组;魏延玲等[18]发现,当KCl替代比例不超过40%时,风干鲈鱼产品的感官品质无明显变化;Ding Xilin等[19]对宣威火腿的研究发现,KCl替代促进了氨基酸和脂肪酸的释放,有助于改善火腿的风味和口感,30% KCl替代可使宣威火腿保持较高的感官品质。本研究中,30%与40% KCl替代组与对照组的感官综合评分之间均无显著差异,表明KCl替代比例控制在40%以内对酸肉感官综合品质不会造成显著影响,而综合各指标来看,20% KCl替代组的感官综合评分最高,是降盐酸肉加工中可接受的食盐替代比例。

表2 KCl部分替代NaCl对酸肉感官评分的影响
Table 2 Effect of partial substitution of NaCl by KCl on sensory evaluation of sour meat

注:同列小写字母不同表示差异显著(P<0.05)。表3同。

组别色泽评分香气评分质地评分咸度评分酸味评分综合评分对照组3.4±1.1b3.5±0.7a3.4±1.0a3.4±1.0a3.7±0.9ab3.5±0.9c 10% KCl3.3±0.8b3.7±0.8a3.9±1.2a4.0±0.8a3.6±0.7ab3.7±0.9b 20% KCl4.3±0.8a3.9±0.7a4.1±0.7a4.3±0.7a4.3±0.9a4.2±0.8a 30% KCl4.3±0.7a3.1±0.9a3.5±1.0a3.6±1.3a3.1±0.7b3.5±0.9c 40% KCl4.4±0.5a3.0±0.9a3.2±1.1a3.3±1.1a3.2±1.0b3.4±0.9c

2.2 KCl部分替代NaCl对酸肉滋味的影响

如图1所示,酸肉的酸味、涩味、苦味响应值随着KCl替代比例增加而降低,咸味和鲜味响应值随KCl替代比例增加呈现先显著增加后显著降低的趋势(P<0.05),20% KCl替代组的鲜味和咸味响应值最高。而KCl替代组与对照组的丰富度响应值均无显著差异。20% KCl替代组的咸味、鲜味响应值显著高于对照组(P<0.05),酸味、涩味、涩味回味响应值显著低于对照组(P<0.05),丰富度、苦味回味响应值与对照组无显著差异。丁习林等[20]研究发现,KCl部分替代NaCl改变了宣威火腿挥发性化合物的形成,最终影响火腿的风味,为保持传统宣威火腿的风味,KCl替代量不应超过30%。刘鑫等[21]采用不同盐替代干腌火腿中的NaCl,发现与100%氯化钠发酵0 d火腿相比,18%乳酸钾+12%赖氨酸(Lys)+70%氯化钠发酵270 d火腿的后涩味、鲜味、丰富度及咸味响应值均增加,但苦味响应值降低。有研究[22]表明,酸肉各滋味品质主要集中在酸味、涩味及苦味,其累计方差贡献率为70.018%。本研究发现,综合8 种味觉结果进行综合分析,20% KCl替代组的滋味表现最佳。

图1 KCl部分替代NaCl对酸肉电子舌响应值的影响
Fig. 1 Effect of partial substitution of NaCl by KCl on the electronic tongue response for sour meat

小写字母不同表示差异显著(P<0.05)。图2~6同。

2.3 KCl部分替代NaCl对酸肉pH值的影响

如图2所示,KCl替代组和对照组酸肉pH值之间存在显著差异(P<0.05),其中20% KCl替代组的pH值最高(4.27),20% KCl、30% KCl和40% KCl替代组之间pH值无明显差异。有研究[23]表明,相对于NaCl,KCl对乳酸菌具有更低的抑制性、更小的渗透压,而且钾离子也是益生菌生长的关键因素之一。因此,相较于对照组,KCl替代组可能更适宜乳酸菌的生长。然而,发酵后期碳源的大量消耗及代谢产物的积累使乳酸菌的生长受到一定的抑制,由酸性内源酶产生的含氮物质和部分杂菌产生的含氮物质,如挥发性盐基氮和生物胺等的积累会导致pH值回升[24]。同时在酸胁迫条件下,乳酸菌细胞膜的生理功能及通透性受到影响,使乳酸菌对蛋白质等营养物质的吸收和分解代谢能力降低,并且内环境pH值下降会导致酸敏感的相关转运蛋白酶和DNA等受损[25],乳酸的积累会抑制乳酸菌生长并导致乳酸产量下降[26]。这可能是本研究中发酵结束时KCl替代组的pH值高于对照组的原因。

图2 KCl部分替代NaCl对酸肉pH值的影响
Fig. 2 Effect of partial substitution of NaCl by KCl on the pH value of sour meat

2.4 KCl部分替代NaCl对酸肉色泽的影响

由表3可知,不同KCl替代组酸肉的L*与对照组相比均无显著差异,表明KCl替代对酸肉L*无显著影响。20%~40% KCl替代后酸肉的a*b*均显著高于对照组(P<0.05),而10% KCl替代组与对照组无显著差异。a*反映肌肉红度变化,20% KCl替代组a*显著高于对照组(P<0.05),使酸肉具有显著特征红色,这与感官评定结果中观察到的色泽得分结果(表2)一致。有研究[27]发现,不添加硝酸盐的发酵肉呈现稳定红色的原因,与发酵过程中生成的锌卟啉(Zn-PP)有关。陈文彬等[28]研究KCl替代NaCl对干腌火腿色泽的影响,发现KCl替代组的Zn-PPIX含量显著高于NaCl组,火腿的a*也较高,表明KCl替代可能更有利于形成Zn-PP。此外,陈文彬[28]、Fletcher[29]等的研究中观察到乳酸对肌红蛋白氧化还原性有不同程度的影响,而齐婷婷等[30]对牛肉肉色及其稳定性的研究中观察到pH值降低,肌红蛋白氧化程度升高,导致色泽变化。本研究中20% KCl替代组pH值显著高于对照组(P<0.05),可能是酸肉中乳酸含量较低,肌红蛋白氧化程度较小,从而表现出较高的a*

表3 KCl部分替代NaCl对酸肉色泽的影响
Table 3 Effect of partial substitution of NaCl by KCl on the color of sour meat

组别L*a*b*对照组75.05±3.23ab9.65±0.70b1.69±0.80b 10% KCl80.13±1.43a11.57±1.90ab2.08±0.67b 20% KCl70.63±1.10b15.64±2.94a2.52±0.92a 30% KCl74.23±5.31ab14.04±2.72a2.72±0.45a 40% KCl77.51±3.53a13.99±2.66a2.86±0.31a

2.5 KCl部分替代NaCl对酸肉剪切力的影响

如图3所示,KCl替代组酸肉剪切力均显著高于对照组(P<0.05),且随着KCl替代比例的增加,剪切力变化呈先上升后下降的趋势,20% KCl替代组剪切力最高。Ruiz-Ramirez等[31]研究表明,pH值在干腌火腿蛋白质水解和肌纤维收缩中起重要作用,间接影响其剪切力,pH值较高时,会因蛋白水解指数较低使火腿肉质变硬。本研究中酸肉pH值与剪切力变化趋势相似,且SDS-PAGE的结果与之相关,表明KCl替代组由于pH值较高,蛋白水解程度较低,因而产生较高的剪切力。此外,肌原纤维蛋白在酸性条件下接近等电点(pH 5.0~5.2),具有较强的凝聚性,进而影响微生物对肌原纤维蛋白的分解能力[32],使剪切力不发生显著变化,这也与本研究中30%~40% KCl替代组的结果一致。

图3 KCl部分替代NaCl对酸肉剪切力的影响
Fig. 3 Effect of partial substitution of NaCl by KCl on the shear force of sour meat

2.6 KCl部分替代NaCl对酸肉水分含量的影响

如图4所示,10%、20%、30% KCl替代组酸肉水分含量显著高于对照组(P<0.05),40% KCl替代组水分含量和对照组无显著差异,且随着KCl替代比例增加,水分含量变化呈先上升后下降趋势,20% KCl替代组出现峰值(63.8%)。这可能是由于K+的电荷密度高于Na+,因此K+的扩散速率大于Na+[33],随着KCl替代比例升高至20%,此时酸肉中同时存在K+、Na+、Cl- 3 种离子,使酸肉吸水能力增强,表现为酸肉水分含量升高。随着KCl替代比例继续升高,酸肉中K+的浓度也逐渐升高,而K+会率先与肌肉表面的蛋白质结合,引起肌肉收缩,进而阻碍Na+和Cl-的渗透[34],而Na+和Cl-具有较强的吸引水分子的能力,在保持Cl-水平的情况下,减少Na+作用,吸水能力降低,表现为酸肉水分含量降低。

图4 KCl部分替代NaCl对酸肉水分含量的影响
Fig. 4 Effect of partial substitution of NaCl by KCl on the moisture content of sour meat

2.7 KCl部分替代NaCl对酸肉aw的影响

如图5所示,KCl替代组和对照组酸肉的aw无显著差异,均处于0.96左右,其中20% KCl替代组的aw略高于其他组。这与詹昌玲[35]的研究结果相符,表明KCl替代不会对酸肉aw产生影响。一般来说,产品内自由水含量越高,aw就越大,酸肉中水分含量较高(图4),其中包含的自由水可能是造成酸肉高aw的原因。此外,酸肉是一种以乳酸菌发酵为主的发酵肉制品,本研究中aw也符合乳酸菌生长条件。

图5 KCl部分替代NaCl对酸肉aw的影响
Fig. 5 Effect of partial substitution of NaCl by KCl on the water activity of sour meat

2.8 KCl部分替代NaCl对酸肉组织蛋白酶B、L活性的影响

如图6A所示,KCl替代使酸肉中组织蛋白酶B的活性显著降低(P<0.05),其中20% KCl替代组的活力最低(286.45 U/mg),为对照组的64.2%。如图6B所示,各KCl替代组和对照组酸肉中组织蛋白酶L活性也均存在显著差异(P<0.05)。30% KCl替代组的组织蛋白酶L活力最低(300.12 U/mg),为对照组的55.0%,10% KCl替代组组织蛋白酶L活力最高,随着KCl替代比例增加,组织蛋白酶L活力呈下降趋势,40% KCl替代后组织蛋白酶L活力为对照组的67.5%。有研究[15]发现,组织蛋白酶B、L与酸味、涩味和鲜味等电子舌属性存在相关性,与涩味与酸味呈正相关,而与鲜味呈负相关。这表明,本研究中20% KCl组涩味降低、鲜味升高(图1),与组织蛋白酶B、L的活力下降有关。黎良浩等[36]研究干腌火腿发现,蛋白质降解造成pH值上升后,组织蛋白酶B、L活性下降,表现为与pH值呈极显著负相关(P<0.01)。Zhang Xinxin等[10]研究发现,KCl对组织蛋白酶L的抑制效果高于NaCl。同时,有研究[37]发现,肌球蛋白重链、肌球蛋白轻链、肌钙蛋白等蛋白对组织蛋白酶B、L非常敏感,而且这些蛋白是现代工艺火腿加工过程中发生强烈降解、产生风味物质的主要前体物质。本实验发现,KCl替代组酸肉中的组织蛋白酶B、L酶残留活力低于对照组的酶残留活力,推测酸肉中肌原纤维蛋白的降解程度也低于对照组。

图6 KCl部分替代NaCl对酸肉组织蛋白酶B(A)、L(B)活力的影响
Fig. 6 Effect of partial substitution of NaCl by KCl on the activities of cathepsin B (A) and L (B) in sour meat

2.9 KCl部分替代NaCl对酸肉蛋白降解程度的影响

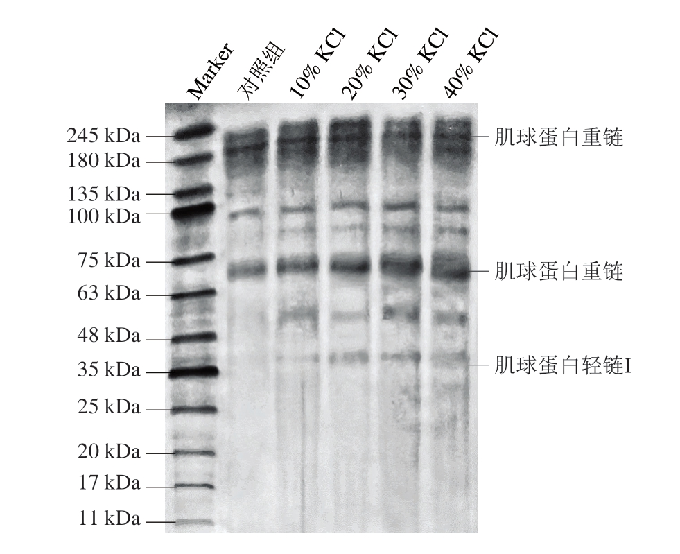
如图7所示,随着KCl替代比例增加,酸肉中低分子质量蛋白(肌球蛋白轻链I)、高分子质量蛋白(肌球蛋白重链)[38]的条带亮度增加,且KCl替代组在48~63、75~100 kDa出现新的蛋白质条带,而在100 kDa处的蛋白质条带无明显差异。Hu Shiqi等[39]明确证明了组织蛋白酶B、L在火腿肌肉水解和整个加工过程中起关键作用。有研究表明,肌原纤维蛋白中的肌球蛋白重链、肌钙蛋白和肌球蛋白轻链在发酵肉成熟后期降解更为明显,其原因可能是组织蛋白酶B、L具有较高的残留活性[37],同时肌动球蛋白重链(~220 kDa)是良好的组织蛋白酶B、L底物[15],本实验蛋白降解程度显示,肌球蛋白重链(63~75 kDa)、肌球蛋白重链(~220 kDa)残留量增加,与2.8节实验结果相符。Zhang Xinxin等[10]在干腌猪肉的研究中发现,蛋白酶活性与金属离子的替代呈显著负相关。本研究中组织蛋白酶B活力随着KCl替代比例的增加而降低,且肌球蛋白轻链I、48~63、75~100 kDa蛋白质含量随着KCl替代比例的增加而增加,说明KCl抑制了酸肉中组织蛋白酶活性,使肉蛋白底物的降解率随着KCl替代比例的增加而降低。

图7 KCl部分替代NaCl对酸肉SDS-PAGE图谱的影响
Fig. 7 Effect of partial replacement of NaCl by KCl on the SDS-PAGE pattern of sour meat

2.10 20% KCl替代对酸肉游离氨基酸含量的影响

游离氨基酸在酸肉整体风味的形成过程中起非常重要的作用,不仅自身具有呈味特征,而且还可作为风味前体物质[40]。游离氨基酸根据其呈味特点可分为鲜味氨基酸、甜味氨基酸、苦味氨基酸和其他氨基酸(如半胱氨酸(Gys))。鲜味氨基酸主要包括天冬氨酸(Asp)和谷氨酸(Glu);甜味氨基酸包括丝氨酸(Ser)、甘氨酸(Gly)、苏氨酸(Thr)、丙氨酸(Ala)、Pro;苦味氨基酸主要包括组氨酸(His)、精氨酸(Arg)、酪氨酸(Tyr)、缬氨酸(Val)、甲硫氨酸(Met)、异亮氨酸(Ile)、亮氨酸(Leu)、苯丙氨酸(Phe)、Lys;常见的必需氨基酸包括Met、Val、Lys、Ile、Phe、leu、Trp和Thr[41]。由表4可知,对照组酸肉中游离氨基酸总量和必需氨基酸总量显著高于20% KCl替代组(P<0.05),其中对照组中Leu占总氨基酸含量(3 828.7 mg/100 g)的31.5%。对照组的苦味、鲜味、甜味氨基酸占总氨基酸含量的比例分别为64.6%、19.4%和16.0%,20% KCl替代组的苦味氨基酸含量显著低于对照组(P<0.05),鲜味和甜味氨基酸含量显著高于对照组(P<0.05),这与20% KCl替代组感官评分较高有关。此外,20% KCl替代组的Glu、Ala含量分别为对照组的1.11、1.17 倍,而Tyr、Arg、Leu、Ile含量分别为对照组的57%、20%、22%、90%,均存在显著差异(P<0.05),这与酸肉内源蛋白酶活性、滋味物质变化等有关。与对照组相比,20% KCl替代组Glu等鲜味氨基酸含量显著提高(P<0.05),以Glu为前体进一步合成的谷氨酸钠是呈鲜味的主要物质,与电子舌中KCl替代后鲜味值上升结果相符。对于Ala、Gly等甜味氨基酸,因甜味与咸味存在协同效应,效应强弱主要取决于食物基质中物质的浓度[42],Ala的增加使咸味增加,与本研究2.2节中20% KCl替代组咸味响应值高于对照组(图1)的结果相符。此外,20% KCl替代组的Ile、Leu、Tyr和Arg等苦味氨基酸含量均显著低于对照组(P<0.05)。Wang Qia等[43]研究发现,直接降低3%及5%盐含量发酵酸肉,酸肉中Leu、Ile支链氨基酸的含量显著高于传统酸肉,这使酸肉苦味加重,而本研究中,20% KCl替代组的苦味氨基酸含量降低。Zhang Xinxin等[15]的研究指出,Thr、Ser、Glu、Gly、Cys、Met、Ile、Leu、Tyr与组织蛋白酶B、L的活性表现出显著正相关性(P<0.05),Arg与组织蛋白酶B、L的活性则表现出极显著正相关性(P<0.01),且苦味与涩味存在协同效应[33],与本实验结果相符。本研究中发现KCl替代后降低了酸肉的涩味,这与组织蛋白酶B活力降低及苦味氨基酸含量的降低有关。

表4 20%KCl替代对酸肉游离氨基酸含量的影响
Table 4 Effects of 20% KCl replacement on the content of free amino acids in sour meat mg/100 g

注:同行小写字母不同表示差异显著(P<0.05)。

氨基酸对照组20% KCl Asp222.4±4.2a199.3±11.7a Thr72.2±1.2a66.6±11.1a Ser83.3±4.9a88.6±4.7a Glu520.8±7.8b580.5±9.9a Gly156.0±1.8a147.0±8.5a Ala299.8±15.2b353.2±1.4a Gys1.2±1.3a1.4±1.0a Val163.9±7.4a170.6±8.9a Met132.6±9.2a114.8±10.6a Ile191.9±7.9a173.2±8.3b Leu1 206.5±1.5a262.3±7.6b Tyr45.6±1.4a26.3±4.8b Phe182.0±4.1a170.4±19.7a His111.4±a106.0±3.2a Lys340.7±2.0319.6±17.1a Arg98.4±1.3a19.4±5.4b鲜味氨基酸743.2±6.0b779.8±10.8a甜味氨基酸611.3±5.8b655.4±6.4a苦味氨基酸2 473.0±4.6a1 362.6±9.5b其他氨基酸1.2±1.3a1.4±1.0a必需氨基酸2 289.8±4.8a1 277.5±11.9b总量3 828.7±4.4a2 799.2±6.9b

3 结论

本研究通过KCl部分替代(0%~40%)酸肉中的NaCl,发现20% KCl替代组的感官综合评分最高,并且其a*、pH值和水分含量均显著高于对照组(P<0.05);随着KCl替代比例的增加,酸肉中的内源性组织蛋白酶B、L活性显著降低(P<0.05),引起蛋白质降解程度下降,从而增加了酸肉的剪切力;此外,20% KCl替代组的苦味氨基酸含量显著低于对照组(P<0.05),而鲜味和甜味氨基酸含量显著高于对照组(P<0.05),这与电子舌分析发现的该组酸肉酸味、涩味、苦味响应值降低,鲜味和咸味响应值增加有关,表明钾盐替代可促进酸肉中甜味氨基酸及鲜味氨基酸的产生,同时抑制苦味氨基酸生成,改善了传统酸肉的滋味。本研究为酸肉低盐加工提供了一定指导依据,表明KCl替代20%的NaCl可作为低盐酸肉加工的参考配方。

参考文献:

[1] 郑海波, 徐幸莲, 周光宏. 肉制品低钠盐加工技术研究进展[J]. 食品工业科技, 2015, 36(4): 370-375. DOI:10.13386/j.issn1002-0306.2015.04.072.

[2] 李婷婷, 王蓉, 刘盼, 等. 食品减盐措施和氯化钠检测技术研究进展[J].食品安全质量检测学报, 2024, 15(10): 144-154. DOI:10.19812/j.cnki.jfsq11-5956/ts.20240308008.

[3] 郑璞, 苏伟, 母雨, 等. 盘县火腿自然发酵过程中理化和风味特征[J]. 肉类研究, 2020, 34(9): 59-67. DOI:10.7506/rlyj1001-8123-20200615-152.

[4] DESMOND E. Reducing salt: a challenge for the meat industry[J]. Meat Science, 2006, 74(1): 188-196. DOI:10.1016/j.meatsci.2006.04.014.

[5] 李平, 张志, 周辉, 等. 干腌火腿中肽的形成机理研究进展[J]. 食品与发酵工业, 2022, 48(4): 294-300. DOI:10.13995/j.cnki.11-1802/ts.027917.

[6] 郑云, 郑爽, 周天硕, 等. 肌肉蛋白质降解对发酵肉制品品质影响的研究进展[J]. 食品工业科技, 2023, 44(18): 476-483. DOI:10.13386/j.issn1002-0306.2022110202.

[7] 汤鹏宇, 胡可, 刘春丽, 等. 钠盐替代物对西式火腿品质的影响[J].肉类研究, 2019, 33(11): 36-42. DOI:10.7506/rlyj1001-8123-20190904-211.

[8] 张旭. 川式酱香腊肠加工过程中内源酶对风味形成的影响[D].成都: 成都大学, 2021. DOI:10.27917/d.cnki.gcxdy.2021.000035.

[9] ARMENTEROS M, ARISTOY M C, TOLDRÁ F. Effect of sodium,potassium, calcium and magnesium chloride salts on porcine muscle proteases[J]. European Food Research and Technology, 2009, 229(1):93-98. DOI:10.1007/s00217-009-1029-9.

[10] ZHANG X X, YANG J N, GAO H, et al. Substituting sodium by various metal ions affects the cathepsins activity and proteolysis in dry-cured pork butts[J]. Meat Science, 2020, 166(3): 108132.DOI:10.1016/j.meatsci.2020.108132.

[11] ARMENTEROS M, ARISTOY M C, BARAT J M, et al. Biochemical and sensory properties of dry-cured loins as affected by partial replacement of sodium by potassium, calcium, and magnesium[J]. Journal of Agricultural and Food Chemistry,2009, 57(20): 9699-9705. DOI:10.1021/jf901768z.

[12] 张倩, 郭晓芸, 张海松, 等. 贵州荔波传统酸肉发酵期间理化成分与发酵风味物质分析[J]. 食品科学, 2013, 34(4): 173-177.

[13] 吴春霞, 石有权, 杨雁, 等. 乳酸菌接种发酵对耿马酸肉品质的影响[J]. 肉类研究, 2024, 38(11): 18-22. DOI:10.7506/rlyj1001-8123-20240806-201.

[14] 周洁, 李洪英, 朱秋劲, 等. 贵式肉品中乳酸菌的选育及其对发酵里脊火腿风味品质的影响[J]. 食品科学, 2022, 43(8): 175-183.DOI:10.7506/spkx1002-6630-20210528-346.

[15] ZHANG X X, BI S H, LI M M, et al. Study on activation strategy and effect of protease activity during the post-processing stage of dry-cured meat based on electrical stimulation[J]. Food Control, 2024, 161:110363. DOI:10.1016/j.foodcont.2024.110363.

[16] LIU L G, ZHOU Y, LIU Y Y, et al. Structural and functional changes on polyhydroxy alcohol-mediated curing pork myofibrillar protein: experimental and molecular simulation investigations[J].Food Research International, 2023, 170: 179. DOI:10.1016/j.foodres.2023.113012.

[17] CHEN C, FAN X K, HU Y Y, et al. Effect of different salt substitutions on the decomposition of lipids and volatile flavor compounds in restructured duck ham[J]. LWT-Food Science and Technology, 2023,176: 114541. DOI:10.1016/j.lwt.2023.114541.

[18] 魏延玲, 孟勇, 田甜, 等. KCl部分替代NaCl腌制对风干鲈鱼中生物胺的抑制作用[J]. 食品科学, 2014, 35(3): 90-95. DOI:10.7506/spkx1002-6630-201403019.

[19] DING X L, WANG G Y, ZOU Y L, et al. Evaluation of small molecular metabolites and sensory properties of Xuanwei ham salted with partial replacement of NaCl by KCl[J]. Meat Science, 2021, 175: 108465.DOI:10.1016/j.meatsci.2021.108465.

[20] 丁习林, 王桂瑛, 邹颖玲, 等. 基于气相色谱-离子迁移谱结合多元统计学分析KCl部分替代NaCl对宣威火腿挥发性风味化合物的影响[J].食品科学, 2020, 41(24): 190-198. DOI:10.7506/spkx1002-6630-20191226-311.

[21] 刘鑫, 牟柏德, 鞠铭, 等. 基于SPME-GC-MS、电子鼻、电子舌技术联用对不同替代盐干腌火腿风味成分表征[J]. 食品科学, 2022,43(6): 246-256. DOI:10.7506/spkx1002-6630-20210427-381.

[22] 吴慧琳, 李苗云, 朱瑶迪, 等. 利用电子舌分析热加工酸肉滋味特征[J]. 肉类研究, 2019, 33(12): 39-44. DOI:10.7506/rlyj1001-8123-20190909-213.

[23] 宋兰兰. 筛选乳酸菌与KCl部分替代NaCl改善低钠盐干酪品质[D].哈尔滨: 东北农业大学, 2017.

[24] 汪雨, 王志耕, 程华平, 等. 乳酸菌发酵对草鱼肉理化特性和蛋白质降解变化的影响[J]. 食品与发酵工业, 2011, 37(4): 125-130.DOI:10.13995/j.cnki.11-1802/ts.2011.04.038.

[25] 杨乐. 乳酸菌对发酵香肠中蛋白水解的作用机制研究[D]. 呼和浩特: 内蒙古农业大学, 2023.

[26] 袁露, 宋云龙, 刘蕾, 等. 环境胁迫对类植物乳杆菌L-ZS9合成胞外多糖能力的影响[J]. 食品与发酵工业, 2025, 51(14): 195-201.DOI:10.13995/j.cnki.11-1802/ts.040442.

[27] ADAMSEN C E, MØLLER J K S, PAROLARI G, et al. Changes in Zn-porphyrin and proteinous pigments in Italian dry-cured ham during processing and maturation[J]. Meat Science, 2006, 74(2): 373.DOI:10.1016/j.meatsci.2006.04.003.

[28] 陈文彬, 黎良浩, 王健, 等. 部分KCl替代NaCl对强化高温成熟工艺干腌火腿肌肉色泽形成的影响[J]. 食品科学, 2017, 38(17): 77-84.DOI:10.7506/spkx1002-6630-201717014.

[29] FLETCHER D, QIAO M, SMITH D. The relationship of raw broiler breast meat color and pH to cooked meat color and pH[J]. Poultry Science, 2000, 79(5): 784.

[30] 齐婷婷, 张一敏, 杨啸吟, 等. 氧化应激对牛肉肉色及其稳定性的影响研究进展[J]. 食品科学, 2023, 44(7): 260-266. DOI:10.7506/spkx1002-6630-20220516-213.

[31] RUIZ-RAMIREZ J, ARNAU J, SERRA X, et al. Effect of pH24, NaCl content and proteolysis index on the relationship between water content and texture parameters in biceps femoris and semimembranosus muscles in dry-cured ham[J]. Meat Science, 2006, 72(2): 185-194.DOI:10.1016/j.meatsci.2005.06.016.

[32] LIU S N, HAN Y, ZHOU Z J. Lactic acid bacteria in traditional fermented Chinese foods[J]. Food Research International, 2011, 44(3):643. DOI:10.1016/j.foodres.2010.12.034.

[33] BANOUT J, KUCEROVA L, MAREK S. Using a double-pass solar drier for jerky drying[J]. Energy Procedia, 2012, 30(1): 738-744.DOI:10.1016/j.egypro.2012.11.084.

[34] TAORMINA P J. Implications of salt and sodium reduction on microbial food safety[J]. Critical Reviews in Food Science and Nutrition, 2010, 50(3): 209. DOI:10.1080/10408391003626207.

[35] 詹昌玲. 复合食盐对鸭肉干品质的影响[D]. 合肥: 合肥工业大学,2010.

[36] 黎良浩, 王永丽, 唐静, 等. KCl部分替代NaCl对干腌火腿工艺过程中蛋白质水解的影响[J]. 食品工业科技, 2015, 36(18): 103-108.DOI:10.13386/j.issn1002-0306.2015.18.012.

[37] 周昌瑜. 基于现代工艺金华火腿蛋白降解及其滋味物质形成机制的研究[D]. 南京: 南京农业大学, 2020.

[38] ZHAO G M, ZHOU G H, WANG Y L, et al. Time-related changes in cathepsin B and L activities during processing of Jinhua ham as a function of pH, salt and temperature[J]. Meat Science, 2005, 70(2):381-388. DOI:10.1016/j.meatsci.2005.02.004.

[39] HU S Q, ZHOU G H, XU X L, et al. Contribution of cathepsin B and L to endogenous proteolysis in the course of modern Jinhua ham processing[J]. Food Control, 2022, 135: 147. DOI:10.1016/j.foodcont.2021.108584.

[40] 武彦文, 欧阳杰. 氨基酸和肽在食品中的呈味作用[J]. 中国调味品,2001(1): 19-22. DOI:10.3969/j.issn.1000-9973.2001.01.007.

[41] 刘梦, 张顺亮, 赵冰, 等. 微发酵对牛肉干风味的影响[J]. 食品科学,2021, 42(14): 232-239. DOI:10.7506/spkxl002-6630-20200910-110.

[42] 陈援援, 马凯华, 张雨婷, 等. 微生物亚硝化抑制剂对风干肠风味物质形成的影响[J]. 食品与机械, 2022, 38(7): 25-36. DOI:10.13652/j.spjx.1003.5788.2022.90146.

[43] WANG Q, LI X F, XUE B, et al. Low-salt fermentation improves flavor and quality of sour meat: microbiology and metabolomics[J].LWT-Food Science and Technology, 2022, 171: 185. DOI:10.1016/j.lwt.2022.114157.

Effect of Partial Substitution of NaCl with KCl on the Endogenous Protease and Quality of Sour Meat

YUAN Canqi, SHANG Huali, HUANG Shiqi, HU Qingqing, TIAN Wen, WU Xinyu,ZHANG Xinxin, ZHONG Xiaolin, ZHU Qiujin, ZHOU Ying*
(Guizhou Key Laboratory of New Quality Processing and Storage of Ecological Specialty Food,School of Liquor and Food Engineering, Guizhou University, Guiyang 550025, China)

Abstract: Traditional sour meat fermentation relies on high concentrations of salt, and long-term consumption of sour meat will increase health risks. From the perspective of low salt fermentation, this study investigated the effect of partial replacement (0%–40%) of sodium chloride (NaCl) with potassium chloride (KCl) on the endogenous protease and quality changes of sour meat by sensory evaluation, electronic tongue analysis, sodium dodecyl sulfate-polyacrylamide gel electrophoresis (SDS-PAGE), amino acid analysis and other methods. The results showed that the 20% KCl substitution group had the highest overall sensory score, which was significantly higher than that of the control group (P < 0.05).Electronic tongue analysis demonstrated that the 20% KCl group showed significantly lower sourness, astringency, and bitterness (P < 0.05) and higher umami and saltiness intensities (P < 0.05), while there was no significant difference in richness. Moreover, its redness value, pH value and moisture content were all significantly higher than those of the control group (P < 0.05). As the level of KCl substitution increased, the endogenous cathepsin B and L activities of sour meat significantly decreased (P < 0.05), leading to reduced protein degradation. Amino acid analysis revealed that the 20% KCl group exhibited a notably lower proportion of bitter amino acids (P < 0.05) and higher proportions of umami and sweet amino acids compared to the control group (P < 0.05). Taken together, this study suggested that 20% KCl substitution is the most suitable condition for the processing of low-salt sour meat.

Keywords: sour meat; potassium chloride; salt substitution; endogenous protease; quality

DOI: 10.7506/rlyj1001-8123-20250303-064

中图分类号:TS251.1

文献标志码:A

文章编号:1001-8123(2026)01-0001-09

引文格式:

袁灿琪, 尚华丽, 黄诗琪, 等. KCl部分替代NaCl对酸肉内源蛋白酶及其品质的影响[J]. 肉类研究, 2026, 40(1): 1-9.DOI:10.7506/rlyj1001-8123-20250303-064. http://www.rlyj.net.cn

YUAN Canqi, SHANG Huali, HUANG Shiqi, et al. Effect of partial substitution of NaCl with KCl on the endogenous protease and quality of sour meat[J]. Meat Research, 2026, 40(1): 1-9. (in Chinese with English abstract) DOI:10.7506/rlyj1001-8123-20250303-064. http://www.rlyj.net.cn

收稿日期:2025-03-03

基金项目:国家自然科学基金地区科学基金项目(32360596);

贵州省生态特色食品新质化加工与贮藏全省重点实验室建设项目(ZSYS[2025]023);

2023国家级大学生创新创业训练计划项目(贵大(国)创字(2023)gzugc2023041号);

贵州大学食品科学与工程国家一流专业建设项目(801332234402)

第一作者简介:袁灿琪(2003—)(ORCID: 0009-0005-5814-7990),女,硕士研究生,研究方向为肉制品加工与品质控制。E-mail: y2081809462@163.com

*通信作者简介:周颖(1991—)(ORCID: 0000-0001-7345-2137),女,副教授,博士,研究方向为肉制品加工与品质控制。E-mail: zhying_0525@163.com