4种禽畜肉中水溶性蛋白比较研究

赵 蓓,邵 彪 2, *,陈 刚 2,黄伟东 2
(1.如东县产商品质量监督检验所,江苏 南通 226400;2.南通市产品质量监督检验所,江苏 南通 226011)

摘 要:为系统比较分析牛、猪、鸡、鸭4种禽畜肉中蛋白质成分的差异,实验利用十二烷基硫酸钠-聚丙烯酰氨凝胶电泳(sodium dodecatyl sulfate-polyacrylamide gel electrophoresis,SDS-PAGE)、非变性聚丙烯酰胺凝胶电泳(native-polyacrylamide gel electrophoresis,Native-PAGE)以及反相高效液相色谱(reversed phase high performance liquid chromatography,RP-HPLC)对牛、猪、鸡、鸭4种禽畜肉中水溶性蛋白进行比较。结果表明:4种禽畜肉水溶性蛋白RP-HPLC图谱出峰位置一致但相应含量不同,Native-PAGE蛋白迁移率差异明显,而SDS-PAGE则显示在高分子质量区域蛋白条带分布较为相似,低分子质量区域存在差别。4种禽畜肉水溶性蛋白带电荷、含量以及小分子质量蛋白差异明显。

关键词:禽畜肉;水溶性蛋白;比较分析

牛、猪、鸡、鸭等禽畜肉富含丰富的蛋白质,是人们日常生活常见的肉类食品。由于动物性蛋白质含有人体全部的必需氨基酸,被视为“完全蛋白质”,同时,较之植物性蛋白质更易于人体吸收,因此,对人体的营养供给非常重要。此外,研究发现,禽畜肉中蛋白质成分对肉质自身品质如凝胶持水性、嫩度、质构等性质有着密切的关系 [1-8]。因此,对禽畜肉中蛋白质成分的研究具有重要意义。目前,国内对禽畜肉中蛋白质的研究主要集中在水不溶性蛋白成分,如盐溶性蛋白肌原纤维蛋白、胶原蛋白等 [9-14],而对禽畜肉中水溶性蛋白成分研究较少,主要集中在肌红蛋白和血红蛋白 [15-18]

随着人们对肉类食品需求不断升高,一些不法分子为获取暴利,在肉制品加工制作过程鱼目混珠,使用了一些价格低廉的肉种类、非肉蛋白如大豆蛋白或副产品蛋白等,导致肉制品中存在较为严重的掺假现象。因此,研究肉制品掺假的鉴别方法十分迫切。本研究着眼于牛、猪、鸡、鸭4种常见肉类水溶性蛋白,旨在发现彼此间差异,为肉类食品的质量识别提供参考。

1 材料与方法

1.1 材料与试剂

牛、猪、鸡、鸭4种禽畜肉购于当地大型超市。

蛋白标样、三羟甲基氨基甲烷(Tris)、甘氨酸、过硫酸铵、丙烯酰胺、N’,N’-甲叉丙烯酰胺、十二烷基硫酸钠、N,N,N’,N’-四甲基乙二胺、溴酚蓝、考马斯亮蓝生工生物工程(上海)有限公司;乙腈(色谱纯) 默克化工技术(上海)有限公司;乙酸、甲醇、乙醇均为分析纯 国药集团化学试剂有限公司。

1.2 仪器与设备

Waters-e2695型高效液相色谱(含PDA检测器)美国Waters公司;Mini-PROTEAN Tetra蛋白电泳系统美国Bio-Rad公司;Biofuge Stratos离心机 美国Thermo公司;PF07501纯水机 法国Millipore公司。

1.3 方法

1.3.1 蛋白质提取

分别称取牛肉、猪肉、鸡肉、鸭肉20 g各2 份,一份加入30 mL蒸馏水,另一份加入0.6 mol/L NaCl的磷酸缓冲盐缓冲液(pH 7.0,0.02 mol/L),分别均质5 min,静置15 min后,4 ℃条件下14 000 r/min离心20 min,取上清备用。

1.3.2 SDS-PAGE分析 [19]

不连续电泳,分离胶12%,浓缩胶5%,电泳条件120 V、90 min,考马斯亮蓝染色。

1.3.3 非变性PAGE分析 [20]

不连续电泳,分离胶12%,浓缩胶5%,电泳条件200 V、60 min,采用考马斯亮蓝染色。

1.3.4 RP-HPLC分析

色谱条件:色谱柱为ZORBAX 300SB-C 18;流速1 mL/min;进样量20 μL;检测波长280 nm;流动相A:100%去离子水+0.1%三氟酸(trifluoroacetic acid,TFA);流动相B:100%乙腈+0.1%TFA。流动相B梯度变化如下:0~10 min:90%A+10%B;10~50 min:梯度洗脱10%~100%B。

2 结果与分析

2.1 4种禽畜肉水溶性蛋白质的提取

4种禽畜肉水提的蛋白溶液呈现不同颜色,其中牛肉水溶性蛋白溶液为深红色,猪肉、鸭肉为红色,鸡肉几乎没有颜色,这和其中的血红蛋白、肌红蛋白含量有关。而盐提的蛋白提取物成凝胶态,表明盐溶性蛋白被抽提。

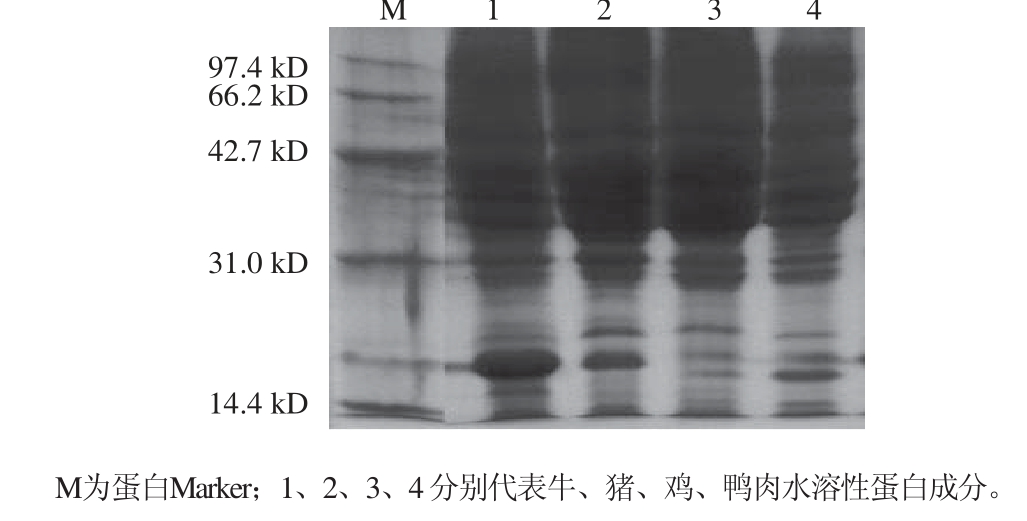
2.2 4种禽畜肉水溶性蛋白SDS-PAGE分析

4种禽畜肉水溶性蛋白利用SDS-PAGE分析4种禽畜肉水溶性蛋白成分。由图1可知,4种禽畜肉水溶性蛋白条带分布比较类似,尤其是分子质量大于31.0 kD的区域蛋白分布无明显差别,而分子质量低于31.0 kD的区域,蛋白质分布种类和含量具有一定的差异。

图1 4种禽畜肉水溶性蛋白成分SDS-PAGE结果
Fig.1 SDS-PAGE of the water soluble proteins from four species of meat

图2 4种禽畜肉水溶性蛋白成分非变性PAGE结果
Fig.2 Native-PAGE of the water soluble proteins from four species of meat

2.3 4种禽畜肉水溶性蛋白非变性PAGE分析用两种不同pH电极缓冲液对4种禽畜肉水溶性蛋白成分进行非变性PAGE分析。由图2可知,4种禽畜肉水溶性蛋白成分,非变性电泳条带分布存在差异,特别是牛肉的水溶性蛋白差别较大,在pH 8.3电极缓冲液条件下尤为明显,表明不同物种蛋白带电荷有所差异,结果与已有的利用等电聚焦电泳方法的报道相一致 [21]

2.4 4种禽畜肉水溶性蛋白RP-HPLC色谱分析

图3 4种禽畜肉水溶性蛋白RP-HPLC结果
Fig. 3 RP-HPLC profi les of the water soluble proteins from four species of meat

将4种禽畜肉水溶性蛋白成分分别利用高效液相色谱进行分析。由图3可知,4种禽畜肉水溶性蛋白成分出峰位置一致,仅含量各有不同,与SDS-PAGE结果类似。

3 结 论

利用SDS-PAGE、Native-PAGE和RP-HPLC对牛、猪、鸡、鸭4种禽畜肉水溶性蛋白进行了分析。结果发现,4种不同肉类来源的水溶性蛋白成分的主要差异在于蛋白质带电荷以及分子质量低于31.0 kD的区域。因此,对于蛋白质未发生明显破坏的产品,如新鲜肉或未经过剧烈处理的肉制品,这些差异可以实现对牛、猪、鸡、鸭的区分。目前已有对于识别肉制品掺假方法的报道,包括利用感官、光谱、免疫以及分子生物学等技术 [22-27]。本研究结果是一个较好的补充。

参考文献:

[1] 崔旭海. 肉蛋白氧化机制及氧化对肉制品品质和功能性的影响[J].食品工业科技, 2009, 30(9): 337-341.

[2] 潘君慧. 冻藏方式、猪肉蛋白氧化及猪肉品质关系的研究[D]. 无锡: 江南大学, 2011.

[3] 吕玲. 肌肉渗出物的蛋白丰度可评价鸡胸肉品质[J]. 中国家禽, 2013, 35(10): 63.

[4] 杞斯卡娜, 郑伟, 陈韬, 等. 骨架蛋白肌联蛋白、伴肌动蛋白、纽蛋白的降解对冷却猪肉持水性的影响[J]. 肉类研究, 2013, 27(3): 42-45.

[5] 何燕, 彭增起, 赵立艳. 肌浆蛋白对牛肉匀浆物凝胶特性的影响[J].食品科学, 2006, 27(10): 193-196.

[6] 张光玉, 许梓荣. 胶原蛋白交联的研究进展及其对肉的纹理和嫩度的影响[J]. 国外畜牧科技, 2001, 28(2): 41-46.

[7] 亢春雨, 赵春青. 鸡胸肉盐溶蛋白热诱导凝胶保水性和超微结构的研究[J]. 食品科学, 2007, 28(1): 50-53.

[8] 陈景宜, 牛力, 黄明, 等. 影响牛肉肉色稳定性的主要生化因子[J].中国农业科学, 2012, 45(16): 3363-3372.

[9] 闫海鹏, 吴菊清, 李美琳, 等. 不同种类肉肌原纤维蛋白乳化及理化特性的研究[J]. 南京农业大学学报, 2013, 36(6): 100-104.

[10] 李继红. 不同种类肉盐溶蛋白凝胶特性的研究[D]. 保定: 河北农业大学, 2004.

[11] 常海军, 王强, 徐幸莲, 等. 肌内胶原蛋白与肉品质关系研究进展[J].食品科学, 2011, 32(1): 286-290.

[12] 孙丰梅, 刘安军. 胶原蛋白与肉品品质[J]. 食品工业科技, 2002, 23(4): 76-78.

[13] 贺艳, 郑文杰, 刘烜, 等. 牛肉加热终点温度指示蛋白的筛选[J]. 食品研究与开发, 2006, 27(4): 22-23; 18.

[14] 陈韬, 崔薇, 邱燕, 等. 正常肉和白肌肉的蛋白质变化[J]. 食品研究与开发, 2012, 33(3): 1-5.

[15] 蔡海莹, 马旺, 檀华蓉, 等. 高效毛细管电泳法测定畜禽肌肉中肌红蛋白和血红蛋白[J]. 食品科学, 2009, 30(24): 340-343.

[16] HAN D, 张治良. 用色层分析法测定牛及鸡的肌肉组织中肌红蛋白和血红蛋白色素[J]. 肉品卫生, 1997(1): 29-31.

[17] 孙京新, 周光宏, 徐幸莲, 等. 猪肉中氧合肌红蛋白分离、纯化及其氧化特性研究[J]. 食品科学, 2002, 23(12): 27-31.

[18] 丁士勇, 张家年. 牛肉肌红蛋白和血红蛋白稳定性研究[J]. 食品科学, 2006, 27(7): 93-94.

[19] LAEMMLI UK, FAVRE M. Gel electrophoresis of proteins[J]. Journal of Molecular Biology, 1973, 80: 575-99.

[20] WANG Shaoyun, SHAO Biao, LIU Shutao, et al. Purification and characterization of Cu, Zn-superoxide dismutase from black soybean[J]. Food Research International, 2012, 47(2): 374-379.

[21] 刘万臣, 磨晓敏, 崔建华, 等. 应用等电聚焦电泳鉴别动物肉种类的研究[J]. 兽医大学学报, 1993, 13(2): 177-178; 157.

[22] 赵立东. 肉类食品掺假的鉴别的方法[J]. 内蒙古技术监督, 1996(1): 26.

[23] 杨志敏, 丁武. 近红外光谱技术快速鉴别原料肉掺假的可行性研究[J].肉类研究, 2011, 25(2): 25-28.

[24] 骆训国, 栗绍文, 周蕾蕾, 等. 夹心ELISA方法检测生肉混合物中的猪肉成分的研究[J]. 动物医学进展, 2010, 31(增刊1): 20-22.

[25] 金萍, 丁洪流, 李培, 等. 2013年苏州地区肉及其制品掺假情况调查[J].中国食品卫生杂志, 2014, 26(2): 168-172.

[26] 凌睿, 薛建丽, 杨军, 等. Real-Time PCR溶解曲线及Myostatin基因在肉类掺假快速鉴别中的应用[J]. 食品科技, 2013, 38(5): 318-322.

[27] 何玮玲. 应用多重PCR及实时荧光PCR方法鉴别食品中肉类成分[D].南京: 南京农业大学, 2013.

Comparative Analysis of Water Soluble Protein of Meats from Four Species of Livestock and Poultry

ZHAO Bei 1, SHAO Biao 2,*, CHEN Gang 2, HUANG Weidong 2
(1.Rudong Commodities Quality Supervision and Inspection Institute, Nantong 226400, China;2.Nantong Product Quality Supervision and Inspection Institute, Nantong 226011, China)

Abstract:To systematically compare the differences in protein components of beef, pork, chicken and duck, sodium dodecatyl sulfate polyacrylamide gel electrophoresis (SDS-PAGE), native (non-denaturing) polyacrylamide gel electrophoresis (Native-PAGE) and reversed phase high performance liquid chromatography (RP-HPLC) were adopted to analyze the water soluble proteins (WSP) from four species of livestock and poultry. The RP-HPLC chromatograms of four meats exhibited consistent peak positions but different protein contents. Native-PAGE showed obvious differences in protein mobility, while the protein bands in the SDS-PAGE revealed similar distribution of high molecular weights and dissimilar distribution of low molecular weights. Conclusion: There are some differences in charge, content and low molecular weight protein types among water soluble proteins from four different species of meat.

Key words:livestock and poultry; water soluble protein; comparative analysis

中图分类号:TS251.7

文献标志码:A

文章编号:1001-8123(2015)08-0005-03

doi:10.7506/rlyj1001-8123-201508002

收稿日期:2015-03-20

基金项目:国家科技部星火计划项目(2013GA690155);南通市科技计划项目(HS2011001)

作者简介:赵蓓(1978—),女,工程师,学士,主要从事食品检测研究。E-mail:42060241@qq.com

*通信作者:邵彪(1983—),男,高级工程师,博士,主要从事食品与药品分析研究。E-mail:shaobiao1983@sina.com